- Окклюзия сонной артерии
- Диссекция сонной артерии
- Каротидная псевдоаневризма
- Сонная артериовенозная фистула
- Фибромышечная дисплазия
- Опухоль сонной артерии
- Сложные случаи сонной артерии
- Дело 1
- Введение
- Анализ
- Диагностика
- Что следует помнить
- Случай 2
- Введение
- Анализ
- Диагностика
- Что следует помнить
- Случай 3
- Введение
- Анализ
- Диагностика
- Что следует помнить
- Случай 4
- Введение
- Анализ
- Диагностика
- Что следует помнить
- Случай 5
- Введение
- Оценка
- Диагностика
- Что следует помнить
- Случай 6
- Введение
- Оценка
- Диагностика
- Что следует помнить
10Окклюзия сонной артерии, необычные патологии и сложные случаи сонной артерии
Джон С. Пеллерито, доктор медицинских наук, FACR, FSRU, FAIUM, Джозеф Ф. Полак, доктор медицинских наук, магистр здравоохранения
В этой главе мы рассмотрим редкие или необычные патологии сонных артерий. Хотя эти случаи являются частью дифференциальной диагностики заболеваний сонных артерий, сонографист вряд ли увидит многие из этих случаев в течение типичного года.
Мы подчеркиваем типичный внешний вид и допплеровские характеристики этих необычных и редких случаев.
Окклюзия сонной артерии
Отличие полной окклюзии сонной артерии от субтотальной окклюзии сонной артерии является одним из наиболее важных дифференциальных диагнозов, проводимых во время оценки сонной артерии. Обнаружение окклюзии сонной артерии имеет важное клиническое значение, поскольку этот диагноз исключает варианты лечения, включая эндартерэктомию и установку стента. Диагностика требует тщательной оценки окклюзированного сегмента, а также притока и оттока сосудов. Необходимо выполнить проверку технических параметров, чтобы избежать ошибок и ошибочного диагноза. Отсутствие кровотока в сонной артерии может быть связано с состоянием низкого кровотока, плохой допплеровской чувствительностью, ограниченной визуализацией сонной артерии, почти полной окклюзией или окклюзией сонной артерии. В этом разделе мы рассмотрим выводы и ошибки, связанные с подтверждением наличия окклюзии сонной артерии.
Атеросклероз, безусловно, является наиболее распространенной причиной окклюзии сонной артерии, но дополнительными причинами являются фибромускулярная дисплазия и диссекция артерий (обсуждаемые позже). Во время обращения у пациентов могут быть острые симптомы или бессимптомные. Большинство окклюзий в сонной системе происходит во внутренней сонной артерии (ВСА), но окклюзия также может возникать в общей сонной артерии (ОСА) или наружной сонной артерии (НСА). Окклюзия ОСА встречается примерно в десять раз реже, чем окклюзия ВСА5, но достаточно распространена, чтобы ее можно было наблюдать в типичной сосудистой практике в условиях сообщества. Окклюзия ОСА часто сопровождается инсультом или другими неврологическими явлениями, но может возникнуть и при отсутствии неврологических симптомов. ВСА может оставаться открытой, несмотря на окклюзию ОСА ( рис. 10-1 ), поскольку обеспечение снабжения ВСА осуществляется через ипсилатеральные или контралатеральные ветви НСА. Поток меняется на противоположный в коллатеральных ветвях НСА и остается краниадным в ВСА.

РИСУНОК 10-1. Окклюзия общей сонной артерии. На цветном допплеровском изображении видно отсутствие кровотока в общей сонной артерии ( стрелка ). Кровоток определяется во внутренней сонной артерии, которая кровоснабжается из наружной сонной артерии.
Оптимизация частоты и положения датчика важна для оценки сонных сосудов. Тщательная оптимизация цветового, энергетического и импульсного допплера необходима для постановки правильного диагноза. Усиление цвета, шкала скорости цвета или частота повторения импульсов (PRF) и цветовой стенной фильтр должны быть оптимизированы для медленного потока, чтобы оценить проходимость. Аналогично, усиление импульсного допплера, PRF и стеновой фильтр должны быть отрегулированы для обнаружения кровотока в сосуде. Требуется тщательное исследование просвета сосуда с использованием достаточного объема образца.
Окклюзию сонной артерии распознают при допплеровском исследовании как отсутствие кровотока в сонной артерии при цветовом, энергетическом и импульсном допплерографии. На спектральном (импульсном допплеровском) дисплее поток не виден при низких настройках PRF. Помните, что импульсная допплерография более чувствительна, чем цветная допплерография, при обнаружении медленного или низкоскоростного потока. Не путайте сильно затухающие сигналы артериального кровотока с венозным потоком. (Проверьте направление потока.) Наконец, посмотрите на окклюзированный сосуд с нескольких подходов датчика, включая поперечную плоскость, прежде чем сделать вывод об отсутствии потока. Можно увидеть эхогенный материал, заполняющий просвет артерии при подострой или хронической окклюзии. Свежий тромб гипоэхогенен, и для его визуализации может потребоваться увеличение настроек шкалы серого. При хронической окклюзии сосуд может быть небольшого размера. Выдающиеся коллатеральные сосуды можно увидеть из ветвей НКА.
Существуют важные вторичные признаки окклюзии ВСА. Помимо отсутствия кровотока при допплеровском исследовании, в дистальной ОСА проксимальнее места окклюзии наблюдается пульсирующий или покачивающийся поток. Это связано с тем, что антеградный кровоток поражает обструкционный сегмент в систолу и меняет направление в диастолу. Допплеровские волны, полученные в ОСА, демонстрируют низкоскоростную форму волны с высоким сопротивлением со сниженным, отсутствующим или обратным потоком в диастолу ( рис. 10-2 ). Увеличение сопротивления обычно отмечается в дистальной части ОСА, ближе к окклюзии, из-за обструкции выходного отверстия. В ECA может наблюдаться повышенный кровоток с низким сопротивлением, поскольку коллатерали пытаются увеличить кровоток на ипсилатеральной стороне. Это называется «интернализацией ЭКА» и отражает побочный приток в мозг. Увеличение скорости кровотока может наблюдаться в контралатеральной ВСА при ипсилатеральном стенозе или окклюзии ВСА. Это называется «компенсаторным потоком контралатеральной ВСА» и является еще одним механизмом увеличения притока крови к мозгу.

РИСУНОК 10-2. Окклюзия внутренней сонной артерии (ВСА). А. В ВСА кровоток отсутствует, сосуд заполнен минимально эхогенным материалом. Б. В общей сонной артерии отмечается низкоскоростной кровоток с высоким сопротивлением, что соответствует обструкции оттока. C. В контралатеральной ВСА наблюдается слегка повышенная скорость, что соответствует компенсаторному потоку.
Ложноположительный диагноз может возникнуть, когда артерия закрыта акустической тенью, когда качество изображения плохое, когда допплеровские сигналы слабы и особенно когда сосуд почти окклюзирован и при почти полной окклюзии присутствует только «струйка» кровотока. артерии. Близкая окклюзия ВСА часто вызывает ангиографический «симптом струны» ( рис. 10-3 ). Важно понимать, что кажущийся малый калибр просвета артерии, представленный «струной» контраста, является артефактом. Симптом струны возникает в результате скопления медленно движущегося контрастного вещества в зависимой (задней) части просвета артерии, когда пациент лежит на спине. Дистальный просвет на самом деле может быть широко открытым, а стеноз локализоваться в начале ВСА.

РИСУНОК 10-3. Близкая окклюзия внутренней сонной артерии (ВСА). А. На серо- и цветных допплеровских изображениях проксимальной левой ВСА отмечается неравномерный налет и прерывистый поток цвета, что соответствует сильному сужению сосуда. На первый взгляд кажется, что ВСА окклюзирована, но при тщательном сканировании поток определяется по цветным очагам. Б. На цветном допплеровском изображении наблюдается распространение бляшки в дистальную часть ВСА, что указывает на диффузное заболевание. Импульсная допплерография ВСА показывает чрезвычайно низкую скорость потока и формы сигналов тардус-парвус, соответствующие тяжелым нарушениям притока. C. Компьютерная томографическая ангиография демонстрирует сильное сужение проксимальной части ВСА, что соответствует стенозу высокой степени.
Отличить окклюзию сонной артерии от стеноза сонной артерии высокой степени может быть сложной задачей для сонографиста или сонолога. Низкий кровоток при почти полной окклюзии может быть трудно обнаружить с помощью заранее установленных параметров допплерографии, и требуется оптимизация настроек цвета, мощности и импульсного допплера. Использование энергетической допплерографии рекомендуется из-за ее чувствительности к низкой скорости потока, а исследования с использованием цветной или энергетической допплерографии 6, 7 сообщают о почти 100% чувствительности и специфичности в диагностике ближней окклюзии ВСА. Однако для достижения такого уровня точности необходимо соблюсти несколько технических деталей. Сначала отрегулируйте прибор для определения минимальной скорости потока. PRF должна быть как можно ниже, а фильтр низких частот должен быть минимизирован, чтобы не исключались низкочастотные сигналы. Во-вторых, получите наилучший обзор окклюзированного сосуда и внимательно осмотрите его просвет на предмет каких-либо намеков на кровоток. Помните, что выбранный вид должен оптимизировать доплеровский угол изображения цветового потока. Переключение между цветовым и энергетическим доплером полезно, особенно когда возникают артефакты движения. В-третьих, исследуйте визуализируемые сегменты сонной артерии с помощью спектральной допплерографии. Получаемые сигналы могут быть очень слабыми, поэтому необходимы высокие настройки доплеровского усиления.
Диссекция сонной артерии
Под диссекцией артерии понимается попадание крови в стенку артерии, разделение слоев стенки и создание ложного просвета, через который течет кровь Для того, чтобы кровь попала в стенку и вызвала расслоение, в интиме должен быть разрыв, который может быть вызван сильной травмой, ятрогенной травмой или слабостью мышечного слоя, которая позволяет интиме разорваться . Место разделения слоев стены варьируется. В некоторых случаях от стенки отделяется только интима, в других случаях могут отслаиваться части медии или медии и адвентиции. Таким образом, толщина мембраны, разделяющей истинный и ложный просветы, различна. Диссекция адвентициального слоя может привести к образованию псевдоаневризмы рядом с артерией.
Расслоение артерии приводит к образованию ложного просвета, который может быть слепым или может воссоединиться с истинным просветом на участке, дистальном от точки рассечения. Слепой ложный просвет может тромбироваться (окклюдироваться) и выпячиваться в истинный просвет, вызывая стеноз или окклюзию. Кровь продолжает течь в ложном просвете, если ее дистальный конец вновь соединяется с истинным просветом. После диссекции сонной артерии эмболизация или снижение кровотока могут вызвать тромбоз внутричерепных сосудов и повреждение головного мозга. Реже псевдоаневризма возникает, когда расслоение распространяется на серозный или периадвентициальный слой сонной артерии.
Диссекция сонной артерии обычно начинается в дуге аорты и распространяется только до бифуркации сонной артерии, но диссекция может распространяться и на ВСА. От трех до семи процентов расслоений дуги аорты осложняются инсультом или транзиторной ишемией головного мозга.Расширение общей сонной артерии чаще всего происходит при расслоении восходящей дуги ( тип А по Стэнфорду), что обычно связано с атеросклеротическим заболеванием, но также может быть вызвано эластической дегенерацией тканей, как это наблюдается при синдроме Марфана или Элерса-Данлоса. Стэнфордская диссекция типа B, возникающая дистальнее дуги аорты, обычно не затрагивает сонные артерии. Учитывая, что неврологические симптомы при расслоении сонной артерии, простирающемся от дуги аорты, встречаются редко, расслоение сонной артерии иногда является случайной находкой при сонографии сонных артерий.
Расслоение сонной артерии также может возникать внутри ВСА, обычно начиная с основания черепа. Это расслоение может произойти как спонтанно, так и после травмы. Некоторые «спонтанные» расслоения на самом деле могут не быть спонтанными и могут возникнуть в результате ненасильственной травмы, такой как необычно напряженные физические упражнения или быстрые движения шеи. В некоторых случаях ускоряющая травма может быть нераспознана пациентом. Артериальная патология также может привести к атравматическому расслоению ВСА, включая фибромускулярную дисплазию (ФМД), синдром Марфана, кистозный медиальный некроз и синдром Элерса-Данлоса. В отличие от диссекции ОСА, ложный просвет при диссекции ВСА почти всегда закупорен тромбом.
Семьдесят процентов спонтанных расслоений ВСА или после минимальной травмы встречаются у пациентов в возрасте от 35 до 50 лет, с одинаковой частотой у мужчин и женщин. Системная гипертензия присутствует в одном из трех случаев и считается предрасполагающим фактором. Симптомы включают головную боль, боль в шее и лице, симптомы ишемии полушарий и паралич черепных нервов. Семьдесят процентов расслоений ВСА разрешаются с легким неврологическим дефицитом или без него, но 25% пациентов страдают инвалидизирующими неврологическими последствиями, а 5% случаев заканчиваются летальным исходом. Спонтанное восстановление кровотока ВСА происходит во многих случаях стеноза или окклюзии высокой степени за счет ретракции тромба в ложном просвете, уменьшая сдавление истинного просвета. Терапия, применяемая при диссекции сонной артерии, обычно включает антитромботические и антигипертензивные препараты.
Расслоение сонной артерии в результате сильной травмы чаще всего возникает в результате прямого повреждения ВСА либо в результате растяжения артерии через структуры шейного отдела позвоночника, либо в результате прямого сдавления артерии элементами шейного отдела позвоночника или нижней челюстью. Травма вызывает разрыв интимы и повреждение, которое ослабляет структуру подлежащей стенки, что приводит к ее расслоению. Серьезные неврологические последствия чаще встречаются при травматической диссекции сонной артерии, чем при атравматической диссекции.
Результаты ультразвукового исследования, связанные с расслоением общей сонной артерии могут быть впечатляющими, когда интима отделяется от остальной части стенки и трепещет в потоке крови при каждом сердечном цикле ( рис. 10-4 ). Серьезные нарушения кровотока вызваны трепещущей интимой ( рис. 10-5 ). Однако если ткань между истинным и ложным просветами толстая, промежуточная мембрана становится более жесткой, и на диссекцию указывает простое дублирование просвета сонной артерии при цветном допплеровском исследовании.


РИСУНОК 10-5. Расслоение общей сонной артерии. А. На этом длинноосном цветном изображении показано разделение общей сонной артерии на два просвета. В этом случае диссекционная мембрана была толстой и очень мало двигалась при каждом артериальном пульсе. B — допплеровские волны в нижнем просвете имеют непрерывный прямой поток на протяжении всего сердечного цикла, что позволяет предположить, что это и есть истинный просвет. C. В верхнем просвете присутствует поток туда-сюда, что позволяет предположить, что это ложный просвет.
Классической сонографической картиной диссекции ВСА является гладкий, сужающийся стеноз ( рис. 10-6 ), возникающий у пациента, который моложе типичного пациента с атеросклеротическим стенозом (т. е. <50 лет). Однако независимо от возраста рассмотрите возможность диссекции у любого пациента с гладким, сужающимся стенозом ВСА без видимых атеросклеротических бляшек . В других случаях расслоения ВСА результаты сонографии могут быть малозаметными и их легко не заметить. Просвет ВСА может быть нормальным в области чуть выше бифуркации, если расслоение, начинающееся у основания черепа, не распространяется до точки сонографической визуализации. В таких случаях единственной обнаруживаемой аномалией является повышенное сопротивление потоку, наблюдаемое в допплеровских кривых, и, возможно, общее снижение скорости потока из-за дистальной обструкции ВСА. В некоторых случаях тонкий лоскут интимы может быть не распознан при цветном допплеровском исследовании из-за артефакта изменения цвета. То есть цвет будет писаться на тонком лоскуте, и будет видно только нарушение цветового потока. Лоскут лучше виден, когда врач выключает цветной дисплей и исследует сосуд с помощью изображений в оттенках серого. Другое проявление — окклюзия ВСА без видимой причины. Опять же, отсутствие атеросклеротических бляшек или юношеские проявления должны указывать на диагноз расслоения.

РИСУНОК 10-6. Спонтанное расслоение внутренней сонной артерии (ВСА). А. ВСА резко сужается от своего нормального размера ( стрелки ) в начале. Он плавно сужен по всей длине (энергетическое допплеровское изображение). B. Магнитно-резонансная ангиография у того же пациента показывает диффузное сужение ВСА ( стрелка ) за пределами его начала, что соответствует диссекции.
При обнаружении расслоения сонной артерии специалист по сонографии должен получить следующую информацию. Во-первых, следует установить степень расслоения, что, в свою очередь, может указывать на то, произошло ли расслоение в дуге аорты или в ВСА. Во-вторых, документируется наличие, направление и характеристики потока в истинном и ложном просвете. В-третьих, определяют проходимость ЭКА и ВСА и анализируют допплеровские сигналы от обоих сосудов для оценки состояния циркуляции ВСА и наличия коллатерализации ЭКА. Наконец, если расслоение вызывает стеноз, степень сужения следует оценивать как визуально (цветовой поток), так и с помощью допплеровских измерений скорости. Чтобы оценить полную степень диссекции, обычно проводят дальнейшую оценку с помощью традиционной артериографии, магнитно-резонансной ангиографии или компьютерной томографической ангиографии.
Каротидная псевдоаневризма
Псевдоаневризма, или ложная аневризма, представляет собой сосудистое образование, возникающее из отверстия в стенке артерии с циркулирующим кровотоком, ограниченное мягкими тканями и гематомой. Настоящая аневризма – это аневризма, при которой стенки артерий целы, но растянуты. Псевдоаневризмы сонных артерий чаще всего возникают в результате сильной травмы (обычно проникающей), но также возникают ятрогенно при попытке чрескожной катетеризации яремной вены или во время терапевтической/диагностической артериографии . Дополнительными причинами являются расслоение сонной артерии или патологии, ослабляющие артериальную стенку, такие как васкулит, фиброзная дисплазия, синдром Марфана и синдром Элерса-Данлоса.
Ятрогенные и посттравматические псевдоаневризмы обычно сопровождаются значительными экхимозами или другими явлениями, связанными с травмой. Псевдоаневризмы, вызванные непроникающей травмой, заболеваниями артерий или катетеризацией, могут проявляться только пальпируемой и обычно пульсирующей болью в шее или параличом черепных нервов. Неврологические симптомы любого рода, включая церебральную ишемию/инсульт, наблюдаются в 40% случаев и могут сопровождаться визуализирующими признаками инфаркта головного мозга. Возможно, наиболее драматичным последствием псевдоаневризмы сонной артерии является разрыв и опасное для жизни кровоизлияние в мягкие ткани, но это происходит очень редко. До недавнего времени лечение ложной аневризмы сонных артерий проводилось хирургическим путем, но теперь клинически стабильные поражения можно лечить нехирургическим путем с помощью стентов с покрытыми стенками.
Сонографически псевдоаневризмы сонных артерий представляют собой сферические периваскулярные поражения, в которых видно, что кровь циркулирует из сонной артерии ( рис. 10-7 ). Размер поражения варьируется, как и относительная доля тромба и циркулирующей крови в псевдоаневризме. Некоторые псевдоаневризмы могут быть сильно тромбированы с незначительным кровотоком. В других поражениях могут наблюдаться большие участки закрученного кровотока с небольшим количеством тромбов. Однако во всех случаях при спектральном допплеровском исследовании в шейке псевдоаневризмы должен наблюдаться характер потока туда-сюда , аналогичный псевдоаневризмам, обнаруживаемым в паху. Расстояние псевдоаневризмы от сонной артерии также варьируется, и длина соединяющей их «шеи» варьируется от случая к случаю. Диаметр горлышка также варьируется. Вполне вероятно, что псевдоаневризмы с короткими, толстыми шейками и большими артериальными отверстиями вызывают большее беспокойство клинически, чем псевдоаневризмы с длинными и тонкими шейками, но данных, подтверждающих это предположение, не было собрано.

РИСУНОК 10-7. Псевдоаневризма сонной артерии. Цветовое исследование потока показывает псевдоаневризму ( стрелка ), соединенную с общей сонной артерией (ОСА) тонкой перемычкой.
При ультразвуковой оценке псевдоаневризмы (сонной или где-либо еще) необходимо собрать следующую информацию: (1) размер и расположение поражения; (2) наличие потока туда-сюда в шейке псевдоаневризмы, подтверждающее, что поражение действительно является псевдоаневризмой; (3) длина и диаметр шеи; и (4) соотношение тромба и текущей крови. Последние два вывода потенциально важны, поскольку могут повлиять на выбор терапии. Небольшая псевдоаневризма с небольшим кровотоком и длинной тонкой шейкой может безопасно спонтанно окклюзироваться и не требовать лечения. Последующая допплерография используется для наблюдения за псевдоаневризмами с целью оценки тромбоза или интервального роста.
Сонная артериовенозная фистула
Свищ – это отверстие, соединяющее две эпителизированные структуры. При артериовенозной фистуле (АВФ) между артерией и веной происходит 15–22 сообщения . АВФ почти всегда возникает в результате травмы, насильственной или ятрогенной. Наиболее вероятное место возникновения — между бедренной артерией и веной, поскольку это обычное место для катетеризации сосудов, однако АВФ могут возникать и в других местах, включая сонную артерию. Причиной каротидных свищей может быть тупая травма, проникающая травма или попытка катетеризации яремной вены. Поскольку сонная артерия и внутренняя яремная вена лежат рядом, они подвержены образованию АВФ, но свищ может возникнуть и с другими венами шеи. Клинические данные, связанные с АВФ сонных артерий, включают видимую травму шеи; экхимозы; пальпируемая гематома; ощутимое или слышимое волнение; и расширенная, гипердинамическая дренирующая вена. Сердечная недостаточность с высоким выбросом может возникнуть при больших фистулах. Лечение хирургическое (лигирование) или интервенционное (стент с покрытой стенкой).
Ультразвуковым признаком артериовенозной фистулы ( рис. 10-8 ) является турбулентный, а в некоторых случаях пульсирующий венозный поток. Турбулентность часто бывает мощной и драматичной, а при визуализации цветового потока она может вызывать «видимый цветовой шум» рядом с веной, вызванный вибрацией окружающих мягких тканей. Между сонной артерией и яремной веной в месте артериовенозного сообщения обычно выявляется высокоскоростная струя. Однако визуализация свища не всегда возможна, поскольку отверстие может быть небольшим или турбулентные эффекты могут затенять свищ. При отсутствии этих данных диагноз артериовенозной фистулы следует поставить под сомнение. При больших АВФ очевиден большой объем венозного кровотока, о чем свидетельствуют измерения высокой допплеровской скорости. Дополнительные находки, которые могут сопровождать АВФ, включают жидкость мягких тканей (экхимоз), гематому или псевдоаневризму.

РИСУНОК 10-8. Каротидная артериовенозная фистула. А. На этом изображении в поперечном цветном потоке показан длинный тракт, соединяющий общую сонную артерию (ОСА) с поверхностной веной ( V ). Также видна гематома мягких тканей ( H ). Б. Допплерография дренирующей вены показывает турбулентный высокоскоростной поток (почти 60 см/сек).
Фибромышечная дисплазия
Ящур — заболевание неизвестной этиологии, поражающее артерии среднего калибра . Женщины страдают от этого заболевания в три раза чаще, чем мужчины, и заболевание обычно проявляется у взрослых от 25 до 50 лет. Хотя семейная связь отмечается в 11% случаев, строго говоря, ящур не является генетическим заболеванием. Почечные артерии являются наиболее распространенной локализацией ящура, а внутренняя сонная артерия занимает второе место. Иногда вовлекаются и другие артерии среднего калибра. Наиболее частым клиническим симптомом у пациентов с ящуром является системная гипертензия, вызванная стенозом почечной артерии. При поражении сонных артерий обычным проявлением является преходящая церебральная ишемия, хотя может возникнуть и инсульт. Около 30% больных ящуром имеют аневризмы внутричерепных мозговых артерий; следовательно, дополнительным проявлением может быть кровоизлияние в мозг.
Ящур – это диспластическое заболевание, а не дегенеративное или воспалительное. Патологический процесс представляет собой разрастание гладкомышечных клеток и фиброзной ткани внутри артериальной стенки. В наиболее распространенной форме, наблюдаемой в 85% случаев, в первую очередь вовлекаются средства массовой информации, а в остальных случаях первичной локализацией является либо адвентиция, либо интима. Медиальная форма имеет характерный ангиографический вид «нитки бус» ( рис. 10-9 , C ), вызванный чередованием участков медиальной фиброплазии и фокальной аневризматической дилатации. Сонографически эта классическая форма ящура образует ряд гребней на стенке артерии (обычно ВСА), как показано на рисунке 10-9 , А. Лучше всего это можно увидеть с помощью энергетической допплерографии. Однако существуют два других визуализирующих проявления ящура: длинный трубчатый стеноз ВСА или асимметричное выпячивание ВСА. Однако во всех случаях ВСА поражается выборочно, а пораженная область имеет тенденцию располагаться относительно дистальнее ВСА.

РИСУНОК 10-9. Каротидно-фибромышечная дисплазия. А. На этом энергетическом допплеровском изображении виден ряд выступов ( стрелок ) вдоль просвета внутренней сонной артерии, характерных для фибромускулярной дисплазии. Б. Спектральная допплерография показывает умеренное нарушение потока и повышение скорости потока (около 200 см/сек). C. Магнитно-резонансная ангиография демонстрирует классический вид гребней на обеих внутренних сонных артериях ( стрелки ).
Когда ящур имеет классическую форму «нитки бус», дифференцировать его от другой патологии сонных артерий обычно нетрудно. Однако «длительный стеноз» — это совсем другая история. Эта форма неспецифична и может быть ошибочно принята за атеросклероз или расслоение. Последнее особенно проблематично, поскольку считается, что расслоение ВСА осложняет около 20% случаев ящура. Дифференциация от атеросклероза обычно проводится на основании возраста, поскольку ящур обычно проявляется в более молодом возрасте, чем атеросклероз, и локализации, поскольку поражения, вызванные ящуром, возникают на 1 см или более выше бифуркации сонной артерии. Отсутствие кальцинированных бляшек также позволяет предположить диагноз ящура. Во многих случаях ящура для подтверждения или окончательного диагноза потребуется корреляция с артериографией, магнитно-резонансной ангиографией или компьютерно-томографической ангиографией.
Опухоль сонной артерии
В норме тело сонной артерии представляет собой крошечную овоидную структуру размером от 1 до 1,5 мм, расположенную в адвентиции бифуркации сонной артерии. Функция каротидного тела недостаточно изучена, но оно является компонентом вегетативной нервной системы, который участвует в контроле артериального pH, уровня газов в крови и артериального давления.
Опухоли каротидного тела представляют собой параганглиомы с относительно низким потенциалом злокачественности, возникающие в каротидном теле. Наиболее частым проявлением является пальпируемое образование на шее с головной болью. Боль в шее является вторым по распространенности проявлением. Это редкие опухоли, и до хирургической биопсии первоначально считается, что до 25% из них представляют собой увеличенные лимфатические узлы (что может привести к значительному кровоизлиянию в этих сильно васкуляризированных опухолях). Хотя потенциал злокачественности опухолей каротидного тела невелик, резекция является стандартной терапией для предотвращения местных побочных эффектов, таких как паралич гортанного нерва и инвазия сонных артерий. Без лечения они могут вызвать стеноз или окклюзию сонной артерии или привести к разрыву сонной артерии. Местный рецидив возникает в 6% случаев, отдаленные метастазы — в 2% случаев.
При сонографическом исследовании опухоли каротидного тела представляют собой образования с высоким содержанием сосудов, расположенные в «промежности» бифуркации сонной артерии, как показано на рисунке 10-10 . В некоторых случаях опухоль может охватывать или окружать НСА или ВСА, вызывая стеноз или потенциально осложняя хирургическое удаление. Поэтому полезно оценить взаимосвязь опухоли с сосудами бифуркации. Ультразвук также можно использовать для отслеживания роста небольших опухолей, если хирургическое вмешательство не предполагается (например, у пожилых людей с ограниченной продолжительностью жизни или у плохого кандидата на операцию). Артериографию обычно проводят до операции, а опухоль можно эмболизировать ангиографически через питатели ЭКА, чтобы уменьшить васкуляризацию перед операцией.

РИСУНОК 10-10. Опухоль каротидного тела. А. На этом продольном цветном изображении видна гомогенная гипоэхогенная опухоль ( ОПУХОЛЬ ), которая расширяет ветви внутренней сонной артерии (ВСА) и наружной сонной артерии (ЕСА). Кровоток (цветные участки) легко обнаруживался в опухоли. Б. Каротидная артериография в боковой проекции показывает высоковаскулярный характер образования ( Т ).
Сложные случаи сонной артерии
Редакторы этого текста на протяжении многих лет сталкивались со случаями, которые удивляли и бросали вызов нам и другим. Наша цель здесь — представить примеры некоторых сложных случаев, чтобы, надеюсь, читатели этого текста поняли соответствующие особенности этих случаев.
Дело 1
Введение
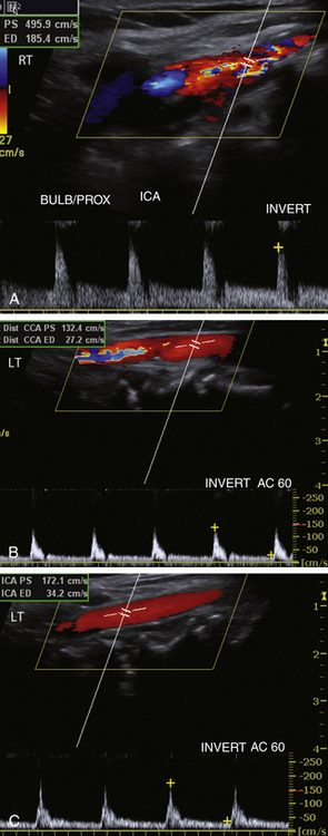
У этого 68-летнего мужчины появился шум в правой шее. Допплеровская оценка демонстрирует высокие скорости, приближающиеся к 500 см/сек в правой ВСА. Повышенные скорости отмечаются в левой общей и внутренней сонной артериях. Эти результаты показаны на рисунке 10-11 . Пожалуйста, ознакомьтесь с этой информацией и определите тяжесть стеноза левой ВСА.

РИСУНОК 10-11. Случай 1. A. Цветное изображение правой внутренней сонной артерии (ВСА) со спектральным отображением. B: Цветное изображение левой дистальной части общей сонной артерии (ОСА) с допплеровским спектром. C: Цветное изображение левой ВСА с доплеровским спектром.
Анализ
Повышенная пиковая систолическая скорость (PSV; 496 см/сек) и конечно-диастолическая скорость (185 см/сек) соответствуют более чем 80% стенозу проксимальной правой ВСА. На первый взгляд, PSV (172 см/сек) в левой ВСА предполагает стеноз от 50% до 69%, но обратите внимание, что изображение цветового потока нормальное и не предполагает такого уровня сужения. PSV в дистальной левой ОСА составляет 132 см/сек. Если вы рассчитаете коэффициент PSV (ICA/CCA), вы получите 1,3, что значительно ниже уровня 2,0, который обычно наблюдается при сужении 50% и более. Причиной ложно высоких скоростей является контрлатеральный стеноз ВСА. ПСВ в ОСА значительно выше нормального уровня, который редко превышает 100 см/сек. Это явление называется компенсаторным кровотоком через нормальную или менее тяжело пораженную сонную артерию. В сонной артерии напротив стеноза или окклюзии высокой степени наблюдаются увеличенные PSV, которые кажутся непропорциональными степени сужения, определяемого при серой шкале и цветном допплеровском исследовании. Таким образом, соотношение систолических скоростей (ICA/CCA) лучше, чем только ICA PSV, при оценке тяжести стеноза. В этом случае левые сонные сосуды служат коллатералями, которые компенсируют уменьшенный кровоток в правой сонной артерии. Более высокий объем кровотока искажает все скорости вверх в левой сонной системе, включая скорость стеноза ВСА. Одним из важных ключей к диагностике компенсаторного кровотока является повышение PSV по всей контралатеральной ОСА и ВСА.
Диагностика
Стеноз правой проксимальной части ВСА высокой степени (более 80%) и стеноз левой ВСА менее 50% с увеличением скорости кровотока за счет коллатерализации (компенсаторный поток).
Что следует помнить
1. Состояния с высоким потоком, независимо от причины, увеличивают PSV, что может привести к завышению оценки тяжести стеноза.
2. Всегда смотрите на «общую картину», а не просто на изолированное измерение скорости. Просмотрите все измерения скорости для каждой сонной артерии. Подумайте о том, что происходит во всей каротидно-позвоночной системе, и помните, что изменение физиологии кровотока в одном сосуде может повлиять на результаты допплерографии в других сосудах.
3. Всегда учитывайте соотношение систолических скоростей при диагностике тяжести стеноза. Это особенно ценно для состояний с высоким и низким расходом.
4. Всегда сравнивайте результаты спектральной допплерографии, шкалы серого и цветового потока. Если они не совпадают, спросите себя: «Имеет ли это смысл?»
Случай 2
Введение
У этого 78-летнего мужчины возникла транзиторная ишемическая атака. Допплеровские сигналы для просмотра включают правую ОСА вблизи ее начала и двусторонние ВСА ( рис. 10-12 ). С какой стороны аномалия? Почему формы сигналов ненормальные? Для анализа также передается кривая правой позвоночной артерии. Как вы объединяете это исследование? Где должно быть поражение, чтобы все выводы имели смысл?

РИСУНОК 10-12. Случай 2. A. Доплеровский спектр правой общей сонной артерии (ОСА), полученный вблизи ее начала. B — Допплеровский спектр правой проксимальной внутренней сонной артерии (PICA). C, Допплеровский спектр правой позвоночной артерии (VERT). D: Допплеровский спектр левой проксимальной части внутренней сонной артерии (PICA). E. Магнитно-резонансная ангиография демонстрирует стеноз безымянной артерии ( стрелка ).
Анализ
Обратите внимание, что все доплеровские сигналы с правой стороны затухают и имеют меньшую скорость. Левая ВСА нормальна по внешнему виду и скорости. Появление пульсуса парвуса (плохая амплитуда) и тардуса (позднего подъема вверх) всегда указывает на то, что вы находитесь ниже стеноза. Поскольку результаты односторонние, они указывают на то, что стеноз имеется только справа. Форма волны позвоночной артерии двухфазная, что обычно указывает на поражение подключичной артерии. В этом случае, чтобы учесть все результаты, поражение должно находиться в проксимальном, невизуализируемом сегменте артериального дерева и должно затрагивать безымянную артерию, поскольку это единственный сосуд, который может вызвать нарушения кровотока как в сонной, так и в позвоночной артериях. справа.
Диагностика
Стеноз безымянной артерии высокой степени.
Что следует помнить
Может существовать важная артериальная патология, выходящая за пределы прямой визуализации сонной артерии (как проксимальной, так и дистальной). Такая патология выявляется только при допплерографии.
1. Всегда сравнивайте форму сигнала и результаты допплеровских измерений скорости на обеих сонных артериях. Различия могут быть не такими очевидными, как в этом случае, но даже незначительные различия следует рассматривать как подозрительные.
2. Стенозы возникают в аортальном отхождении брахиоцефальных артерий. Наиболее частыми локализациями являются безымянная, левая общая сонная и левая подключичная артерии.
3. Двухфазный кровоток в позвоночной артерии предполагает поражение подключичной артерии («подключичное обкрадывание»). Если нарушения кровотока включают ипсилатеральные правые сонные артерии, думайте о безымянном поражении.
Случай 3
Введение
Эта 73-летняя женщина перенесла инсульт правого полушария. Взгляните на допплеровские сигналы, полученные от ветвей бифуркации правой сонной артерии ( рис. 10-13 , А и Б ). Решите, что такое ICA, а что ECA, прежде чем смотреть на ангиограмму на том же рисунке ( рис. 10-13 , C ).

РИСУНОК 10-13. Случай 3. А и Б. Ветви бифуркации правой сонной артерии. C, Правая сонная артериограмма. Стрелкой указана культя окклюзированной внутренней сонной артерии.
Анализ
Правая ВСА окклюзирована, но этот факт был упущен неопытным сонографистом и сонологом, участвовавшими в этом случае. Оглядываясь назад, легко понять, почему возник этот неправильный диагноз. Две формы доплеровского сигнала, показанные на рисунке 10-13, практически идентичны, поскольку оба они принадлежат ветвям ECA. К сожалению, сходство форм сигналов не было оценено по достоинству. Кроме того, сонографист не постучал поверхностную височную артерию. Если бы она это сделала, то тот факт, что оба судна на самом деле были филиалами ЕКА, мог бы быть очевиден.
Пульсация доплеровских сигналов — еще одно наблюдение, которое могло бы предотвратить эту ошибку. Обе формы сигналов более пульсирующие, чем обычно наблюдается в ICA.
Наконец, анатомическим фактором, способствующим ошибке, была невозможность идентифицировать окклюзированную ВСА. Со временем окклюзированная ВСА может стать фиброзной и слиться с окружающими тканями.
Диагностика
Что следует помнить
1. Допплеровские сигналы в ВСА и ЭКА всегда должны звучать по-разному, а формы сигналов всегда должны выглядеть по-разному.
2. Специалист по УЗИ должен «постучать» (быстро нажать и отпустить пальпируемый пульс пальцем) по преаурикулярной ветви поверхностной височной артерии перед ухом, чтобы идентифицировать ЭКА, и полученный допплеровский спектр должен быть записан как часть каждое ультразвуковое исследование сонных артерий.
3. Если вы не можете решить, является ли один сосуд бифуркации НКА, а другой — ВСА, не гадайте ! Лучше сказать, что вы не уверены, чем допустить диагностическую ошибку. В случае сомнений наши сонографисты обозначают ветви сонной артерии A и B, а не ECA и ICA, и мы, врачи, берем это оттуда. По сути, у нас есть два варианта: вернуть пациента и поискать самим или направить пациента на другое визуализирующее исследование, такое как магнитный резонанс или компьютерная томографическая ангиография.
4. Неправильная идентификация ВСА и НКА может оказаться очень важной в случаях стеноза. Ведение пациента может оказаться нецелесообразным, если стеноз НСА обусловлен стенозом ВСА или наоборот. (В представленном здесь случае неправильный диагноз не повлиял на клиническое лечение, поскольку ВСА была окклюзирована.)
Случай 4
Введение
Перед операцией на сердце этому 55-летнему мужчине было назначено скрининговое УЗИ сонных артерий. При серой и цветной визуализации в шейных отделах сонных артерий было обнаружено лишь несколько небольших бляшек. Просмотрите результаты допплеровского исследования, показанные на рисунке 10-14 , и поставьте диагноз.

РИСУНОК 10-14. Случай 4. A и B. Доплеровские спектры правой и левой общей сонной артерии (ОСА). C и D: Допплеровские спектры правой и левой внутренней сонной артерии (ICA). E и F: образцы правой и левой позвоночных артерий (VERT).
Анализ
Допплеровские волны равномерно затухают и напоминают тардус-парвус, а скорость потока низкая во всех областях, что указывает на «глобальное» физиологическое расстройство. Двумя основными причинами являются заболевание аортального клапана и плохая функция миокарда. В данном случае пациент ожидал замены аортального клапана по поводу тяжелого аортального стеноза. Если бы проблема заключалась в тяжелой аортальной недостаточности, на допплеровских кривых можно было бы увидеть характер потока туда-сюда с диастолическим реверсом.
Диагностика
Стеноз аортального клапана, вызывающий глобальное затухание каротидных допплеровских сигналов.
Что следует помнить
1. Общая низкая скорость и затухание обычно вызваны заболеванием аортального клапана или плохой функцией миокарда. Волны Tardus-parvus предполагают проксимальный стеноз, очевидно, вовлекающий грудную аорту, поскольку поражены все ее ветви.
2. Сердечная функция может существенно влиять на результаты каротидной допплерографии. Если бы у этого пациента был стеноз сонной артерии, скорости при стенозе были бы существенно ниже, чем у человека без сердечного заболевания. Как и в случае компенсаторного кровотока (см. Случай 1), соотношения систолической скорости ВСА/ОСА лучше аппроксимируют уровень заболевания, чем пиковая скорость ВСА, используемая независимо.
3. Всегда учитывайте «глобальный» взгляд на физиологию сердечно-сосудистой системы при интерпретации ультразвуковых исследований сонных артерий.
Случай 5
Введение
У этого 58-летнего мужчины случился обморок. Посмотрите на результаты, представленные на рисунке 10-15 , и оцените поражение левой ВСА.

РИСУНОК 10-15. Случай 5. А. Цветное допплеровское изображение левой внутренней сонной артерии (ВСА). Б — Цветное и импульсное допплеровское изображение левой общей сонной артерии (ОСА). C, Цветное изображение и импульсные допплеровские сигналы левой ВСА. D, Магнитно-резонансная ангиограмма левой сонной артерии.
Оценка
Цветная допплерография левой ВСА демонстрирует область наложения спектров, соответствующую повышенным скоростям и фокальному стенозу. ПСВ в середине ВСА составляет 158 см/сек. В этой области сосуда не наблюдается фокальной бляшки или значительного сужения просвета. PSV в дистальной ОСА составляет 79 см/сек. Соотношение ICA/CCA составляет 2:1. Измерения скорости и соотношение предполагают стеноз левой ВСА от 50% до 69%. В правой сонной артерии бляшек или повышенной скорости не наблюдается.
В этом случае сбивает с толку повышенная скорость в средней части ВСА без соответствующей бляшки. Это нетипичная локализация атеросклеротического заболевания. Более того, судно поворачивает в месте совмещения, что указывает на извилистость или излом. Магнитно-резонансная томография/магнитно-резонансная ангиография проводилась в рамках обследования обморока.
Диагностика
Излом средней части ВСА, подтвержденный при магнитно-резонансной ангиографии.
Что следует помнить
1. Большинство стенозов ВСА возникает в бифуркационных и проксимальных сегментах ВСА.
2. Стеноз обычно характеризуется сужением просвета и образованием бляшек.
3. Очаговое повышение скорости может возникать в области извилистости или перекручивания сосудов.
4. Рассмотрите возможность корреляции с другим исследованием, если существует несоответствие между диагностическими критериями.
Случай 6
Введение
У этого 70-летнего пациента имеется правостороннее нарушение мозгового кровообращения. Цветное допплеровское картирование не выявило признаков очагового стеноза в левой ОСА или ВСА ( рис. 10-16 ). Импульсная допплерография выявляет низкоскоростной кровоток в ВСА с нормальным систолическим подъемом. Можно ли определить место повреждения?

РИСУНОК 10-16. Случай 6. А. Цветное допплеровское изображение левой внутренней сонной артерии (ВСА). Б — импульсная допплерография левой общей сонной артерии (ОСА). C: Импульсная допплерография левой ВСА.
Оценка
Оценка CCA и ICA по шкале серого не выявила признаков значительных атеросклеротических бляшек. Цветная допплерография демонстрирует однородную картину кровотока в ВСА без наложения очагов, позволяющего предположить стеноз. Импульсная допплерография выявляет нормальную скорость в ОСА с аномально повышенным сопротивлением и нормальным ходом вверх, что соответствует поражению оттока. Кривые от ВСА показывают заметное снижение PSV и увеличение сопротивления при нормальном систолическом подъеме, что также соответствует дистальному заболеванию.
Диагностика
Значительный стеноз супраклиноидной ВСА, подтвержденный при магнитно-резонансной ангиографии.
Что следует помнить
1. Необычно низкие скорости ВСА без значительных бляшек могут быть связаны с поражением притока или оттока. Проверьте контралатеральную сторону, чтобы оценить нормальный или ненормальный кровоток. Если нарушение кровотока двустороннее, можно предположить заболевание сердца или поражение аорты.
2. Низкоскоростной поток с низким сопротивлением, имеющий затухающий (тардус-парвус) вид, обычно указывает на поражение притока.
3. Низкая скорость потока с высоким сопротивлением при нормальном систолическом движении вверх весьма вероятно свидетельствует о повреждении оттока.
