Ультразвуковая оценка тазового венозного рефлюкса
Энджи М. Уайт , Клиника Джуди М. Холдсток Уайтли, Лондон, Великобритания
| Год : 2018 | Объем : 5 | Выпуск : 4 | Стр . : 234-243 |
Адрес для корреспонденции :Клиника доктора Энджи М. УайтУайтли, Лондон,Великобритания
Оригинал статьи
Источник поддержки: Нет, Конфликт интересов: Нет
| Как цитировать эту статью:White AM, Holdstock JM. Ультразвуковая оценка тазового венозного рефлюкса. Индийский журнал J Vasc Endovasc Surg 2018; 5: 234-43 |
| Как цитировать этот URL:White AM, Holdstock JM. Ультразвуковая оценка тазового венозного рефлюкса. Indian J Vasc Endovasc Surg [серийный номер онлайн] 2018 [процитировано 7 июня 2021 года]; 5: 234-43. Доступно по ссылке : https://www.indjvascsurg.org/text.asp?2018/5/4/234/247277 |
| Вступление |
Это протокол клиники Уайтли для диагностики тазового венозного рефлюкса у женщин. Трехсоставное ультразвуковое исследование трансабдоминального (TADUS), трансвагинального (TVDUS) и транслабиального (TLDUS) используется для получения полной диагностической картины нижней полой вены (IVC), почечной вены с 2-х сторон (правая почечная вена [RRV] и левая почечная вена [LRV]), яичниковая вена (OV; правый OV [ROV] и левый OV [LOV]), общая подвздошная вена (CIV; правая CIV и левая CIV [LCIV]), внутренняя подвздошная вена (IIV; правая IIV [RIIV] и левый IIV [LIIV]) и наружные подвздошные вены (EIV; правая EIV и левая EIV). С 2000 года мы выполняли TVDUS и TLDUS для оценки тазового рефлюкса [1], в то время как другие группы описали чисто трансабдоминальный метод. [2]В 2016 году мы представили TADUS наряду с нашим существующим протоколом. Мы считаем, что это трехсоставное обследование предоставляет дополнительную анатомическую информацию, полезную для руководства во время эмболизации тазовых вен (ЭВВ), при сохранении высокого диагностического уровня трансвагинальной визуализации. Как и в случае варикозного расширения вен ног, существует множество различных форм вен таза. Тазовый рефлюкс относительно часто встречается у женщин. Однако, согласно нашему опыту, истинные синдромы компрессии относительно редки.
Основная цель обследования — выявить венозный рефлюкс, который обычно описывается как реверсирование кровотока в венозной системе. Рефлюкс оценивается по шкале от 1 до 4:
- Отсутствующий
- Незначительный (легкий, прерывистый рефлюкс, длительность <0,5 с)
- Значительный (стойкий рефлюкс, продолжающийся либо на протяжении всей продолжительности физических маневров, как описано ниже, либо в течение ≥0,5 с)
- Очень значительный (пассивный рефлюкс или рефлюкс, продолжающийся после физического маневра).
Другие результаты могут включать следующее:
- Диаметр ствола ≥5 мм. Следует рассматривать стволы меньшего размера со стойким рефлюксом, поскольку было показано, что диаметр не указывает на рефлюкс с уверенностью [3]
- Венозные стволы демонстрируют наполнение / расширение при физических маневрах, а также рефлюкс.
- Контралатеральные или ипсилатеральные сифонные эффекты между OV и IIV. Эффекты сифона наблюдаются при значительном рефлюксе в одном стволе с соответствующим эффектом всасывания с увеличенным антеградным потоком в противоположном стволе. Это можно увидеть либо пассивно, либо с помощью физических маневров.
- Связанные варикозные узлы демонстрируют наполнение / растяжение и изменение направления потока при физических маневрах.
Также важно оценить венозную компрессию или рубцовые измеения венозной системы, связанной с тазом. Наиболее известными патологиями компрессии являются феномен щелкунчика (NCP), при котором LRV сдавливается между аортой и верхней брыжеечной артерией (SMA), и компрессия подвздошной вены, при которой LCIV сдавливается между проксимальной правой общей подвздошной артерией и позвоночником. Любой из этих двух феноменов может возникать с симптомами или без них и связанными с ними синдромами: синдром щелкунчика и синдром Мэй-Тернера. Могут наблюдаться другие типы внешнего сдавления или врожденные аномалии, и поэтому важно соотнести общее состояние пациента и симптомы с результатами ультразвукового исследования. Если результаты не соответствуют представлению, рассмотрите другие патологии.
| Подготовка пациента |
Чтобы повысить диагностическую эффективность УЗИ, важно свести к минимуму наличие кишечных газов. Рекомендуется следующая подготовка пациента:
- За 24 часа до обследования
1. Употребление диеты с низким содержанием клетчатки / газообразования
2.Отказ от газированных напитков и ограничение курения и жевания, если это возможно.
Минимум за 4 часа до обследования не кушать- Запрещается принимать пищу через рот. Для поддержания нормальной гидратации рекомендуется использовать прозрачные жидкости без газа (улучшит качество изображения из-за соответствующего расширения венозной системы).
Медикамент- Пероральный прием симетикона, противовспенивающего агента для уменьшения выделения газов в кишечнике.
- Время приема: вечером перед исследованием, перед едой и перед сном и после пробуждения утром (или за несколько часов до дневного осмотра) (Примечание: следуйте инструкциям и предупреждениям о лекарствах. Не использовать при аллергии или во время беременности).
| История болезни |
Получите подробный акушерский, гинекологический и венозный анамнез, включая следующее:
- Количество беременностей и способ родоразрешения (нормальные вагинальные роды, пробные роды или кесарево сечение)
- История гинекологических или урологических заболеваний, обследований или хирургических вмешательств
- Текущие симптомы, связанные с синдромом заложенности таза, и их тяжесть (как обсуждалось ранее), а также их эволюция
- Заболевания вен в анамнезе, обследования или операции, а также текущее состояние вен ног.
| Ультразвуковое исследование |
Трансабдоминальное УЗИ
Положение пациента
Исходное положение почти сидя (лежа под углом 80 °) для оценки вен верхнего отдела брюшной полости [Рисунок 1] . Поскольку это похоже на положение стоя во время дуплекса вен нижних конечностей для оценки рефлюкса, сила тяжести и гидростатическое давление помогут в демонстрации рефлюкса. Также считается, что настоящий NCP будет более четко визуализирован. [4] Затем пациента наклоняют под углом 45 ° для вены на уровне пупка или ниже для облегчения визуализации.
Рисунок 1: Положение пациента: 80 ° вертикально, соответствующие ультразвуковые изображения поперечной и продольной левой почечной вены
Оборудование и настройки
Предпочтительно использовать криволинейный датчик (C5-1, Philips Healthcare, Bothell, Вашингтон, США) с системой, оптимизированной для визуализации сосудов брюшной полости с высоким разрешением. Разрешение должно быть установлено как предпочтение по сравнению с частотой кадров, с максимальной частотой, выбранной для необходимого проникновения. Частоту повторения цветных импульсов (PRF) следует оптимизировать для потока от умеренной до низкой (10–15 см / с).
Стандартный протокол
Убедитесь, что используется легкое давление при сканировании, особенно при оценке компрессии, так как стенка вены может легко внешне сдавиться из-за ее податливости и низкого давления в просвете [Рисунок 2] . Следует провести тщательную оценку со следующими взглядами:
Рисунок 2: Нормальная левая почечная вена, поперечная плоскость. На левом изображении сильное давление датчика, левая почечная вена спереди и сзади в диаметре сжата до 1,3 мм. Приложение легкого давления справа, 3,1 мм от переднего до заднего диаметра
Левая почечная вена
Исключить подлежащий НКП. LRV может проходить спереди между SMA и аортой (мезоаортальный LRV [MA-LRV]), сзади между аортой и позвоночником (ретроаортальный LRV [RA-LRV]) или и тем, и другим. Обратите особое внимание на коллатерали, которые могут стекать в LRV, так как существует множество вариантов дренажа из LOV. Следуйте за коллатералями как можно дальше. Физические маневры, описанные ниже, могут использоваться для исключения истинной патологии.
- Измерьте самый широкий передний к заднему (AP) диаметр прикорневого сегмента LRV (H-LRV), MA-LRV и / или RA-LRV [Рисунок 3] . Рассчитайте соотношение H-LRV: MA-LRV и / или H-LRV: RA-LRV. Отношение ≥5: 1 может указывать на NCP; [5], однако, мы показали, что повышенные соотношения наблюдаются у пациентов со значительным проксимальным рефлюксом LOV. В этих случаях узкие диаметры AP MA-LRV представляют собой феномен «псевдо-щелкунчика», вызванный сифонным эффектом рефлюкса LOV, а не истинной анатомической патологией. [6] По нашему опыту, настоящий NCP встречается очень редко.
- Продольный вид MA-LRV может предоставить ценную информацию о структуре вены [Рисунок 4] с узкой краниокаудальной шириной, наблюдаемой в истинном NCP.
- Используйте допплерографию цветного потока (CFD) на H-LRV и MA-LRV; проверьте направление потока и наполнение. При значительном проксимальном рефлюксе LOV MA-LRV может быть недостаточно заполненным из-за сифона LOV.
- Следуя диагностическим критериям, введенным несколькими авторами, [5] можно проводить измерения скоростей H-LRV и MA-LRV и угла SMA к аорте. Однако, по нашему опыту, мы обнаружили небольшую корреляцию между этими измерениями и истинным NCP.
Рисунок 3: Нормальная поперечная плоскость левой почечной вены. Левая мезоаортальная почечная вена кпереди от заднего диаметра составляет 3,8 мм, прикорневой сегмент левой почечной вены 7,2 мм, соотношение диаметров 1,9
Рисунок 4: Продольное изображение; измерение эллипса нормальная площадь поперечного сечения мезоаортальная левая почечная вена и нормальная длина краниокаудального отдела и угол между верхней брыжеечной артерией и аортой
Правая почечная вена
Оцените, чтобы сравнить с противоположной веной. Отмечаются аномалии в анатомическом представлении, такие как повторная вставка RRV или ROV в RRV, а не в IVC.
Двусторонние яичниковые вены
ROV и LOV можно увидеть даже без дилатации у большинства хорошо подготовленных пациентов. Чтобы определить местонахождение ROV, начните с IVC в поперечном направлении на уровне RRV. Проксимальный ROV будет виден с медленным каудальным движением, обычно на циферблате около 10:00 [Рис. 5], На 1-2 см ниже RRV. Для LOV начните с LRV в поперечном направлении и снова медленно сканируйте каудально. Если нет коллатерализации, это будет единственная видимая вена, соединяющая LRV на каудальной поверхности. Проследите оба OV дистально в таз, обращая внимание на коллатеральные сосуды или аномальную анатомию, которые будут полезны для управления доступом во время PVE. Дистально их можно увидеть, покрывая подвздошные вены, исходящие из яичников [Рисунок 6] .
Рисунок 5: Переход правой яичниковой вены в нижнюю полую вену, поперечный вид. Правая яичниковая вена (желтый кружок) в позиции 10:00
Рисунок 6: Анатомическое изображение левой яичниковой вены, покрывающей левые подвздошные вены. Предоставлено: Барри Прайс, Клиника Уайтли.
Используйте как оттенки серого, так и CFD, отмечая диаметр и направление потока в продольной плоскости [Рисунок 7] a и [Рисунок 7] b. Маневры (как показано ниже) можно использовать для вызова рефлюкса, если они не наблюдаются пассивно. Отметьте расположение вставок ROV в IVC и LOV в LRV, а также любые коллатеральные сосуды или аномальную анатомию.
Рисунок 7: Продольная проксимальная правая яичниковая вена (a) и левая яичниковая вена (b)
Нижняя полая вена и общие подвздошные вены
Изображение IVC и CIV в целом, как с оттенками серого, так и с CFD. Обратите внимание на любые аномалии, сужения или рубцы. Тщательно оцените проксимальный LCIV, так как это обычное место для внешней компрессии. Опять же, следует использовать легкое давление сканирования [Рисунок 8] . Для визуализации LCIV:
Рисунок 8: Левая общая подвздошная вена датчик давления эффективно сужение переднего до заднего диаметра до 4,7 мм (слева) в сравнении с 9.0 (справа)
- Оцените с помощью оттенков серого как в продольном, так и в поперечном направлении, поскольку LCIV проходит между правой общей подвздошной артерией и позвоночником [Рисунок 9] . На компрессию может указывать значительное сужение [Рисунок 10], а также расширение вен только дистальнее сужения.
- Наложение цветов или отсутствие CFD, вероятно, будет видно в месте сжатия, с недостаточным заполнением дистально из-за медленного потока.
- Оцените фазовый и спонтанный поток с помощью спектрального допплера (убедитесь, что угол корректируется до ≤60 °) [Рисунок 11] . Повышенные скорости и потеря фазичности могут быть характерными для лежащего в основе сжатия
- Опять же, можно использовать физические маневры, чтобы исключить физиологию в сравнении с патологией (см. Ниже).
Рис.9: Нормальная левая общая подвздошная вена, поперечный вид
Рисунок 10: Суженная левая общая подвздошная вена. Синдром Мэя-Тернера диагностируется на основании симптомов и ультразвукового исследования. Диагноз подтвержден другими методами диагностики
Рисунок 11: Нормальная проксимальная левая общая подвздошная вена, спектральный допплер, спонтанный и фазовый кровоток
Двусторонние наружные подвздошные вены.
Проверьте наличие сужений и признаков обструкции с помощью оттенков серого. CFD может помочь оценить наличие перепонок или рубцов. Оцените симметричный фазовый и спонтанный поток с помощью спектрального допплера. Опять же, поддерживайте легкое давление при сканировании.
Двусторонние внутренние подвздошные вены.
Следуйте за EIV в продольном краниальном направлении, IIV будут видны в средней части таза [Рисунок 12] . Если в этой области имеется значительное количество кишечных газов, переместите датчик латеральнее EIV в средней части таза и наклоните датчик кнутри с помощью глубокого давления. Анатомическое изображение притоков показано на [Рис. 13] .
Рисунок 12: Внутренняя подвздошная вена среднего таза, вид сбоку
Рисунок 13: Анатомическая схема, дистальные тазовые вены. Предоставлено: Барри Прайс, Клиника Уайтли.
- Используйте сильное давление сканирования, поскольку они обычно не сжимаются датчиком (из-за их глубины)
- Оцените направление потока с помощью CFD [Рисунок 14]
- Используйте физические маневры, как показано ниже
- Изобразите IIV и притоки в глубокий таз и отметьте сообщение с нижними конечностями или пахом.
Рисунок 14: Двусторонние внутренние подвздошные вены. Пассивный рефлюкс левой внутренней подвздошной вены, правый антеградный
Область почек и мочевого пузыря
Оцените симметричный размер почек и наличие любой патологии. Если TVDUS невозможно выполнить, оцените периуретральную область и область мочевого пузыря на предмет рефлюкса варикозного расширения вен.
Физические маневры
Венозный поток динамичен и изменяется в зависимости от положения тела и нормальных физиологических процессов. При подозрении на венозную компрессию или обструкцию можно использовать несколько приемов для определения физиологии в сравнении с физиологией.
Узкий диаметр MA-LRV, наблюдаемый сидя, вероятно, является физиологическим, если любое из следующих положений или маневров приводит к увеличению диаметра:
- Боковой пролежень (правый боковой пролежень, левый боковой пролежень [LLD]) положение
- Положение Тренделенбурга (полезно с NCP «псевдо-щелкунчик» для смягчения эффектов силы тяжести и гидростатического давления) [Рисунок 15] a, [Рисунок 15] b, [Рисунок 15] c
- Глубокое вдохновение [Рисунок 16]
- Вальсальва.
Рисунок 15: Последовательные изображения того же пациента, мезоаортальная левая почечная вена под углом 80 ° вертикально, соотношение 9: 1, классификация NCP (a). Положение Тренделенберга 20 минут, соотношения нормализованы до 2: 1 (б). Постэмболизация, нормальное соотношение левой яичниковой вены 3: 1 при вертикальном положении 80 ° (c), подтверждает физиологический феномен псевдо-щелкунчика
Рисунок 16: Левая почечная вена в покое (слева) и на глубоком вдохе (справа), физиологическая узкая мезоаортальная левая почечная вена. Передний и задний диаметры увеличиваются с 0,6 мм до 2,9 мм.
При подозрении на компрессию или обструкцию LCIV, LLD или глубокий вдох могут расширить сужение, если оно является физиологическим.
Используйте Вальсальву (имитирует проксимальную компрессию) или компрессию Кегеля (имитирует дистальную компрессию) при оценке OV, IIV и любых связанных варикозно расширенных вен, чтобы вызвать рефлюкс, если он не виден пассивно.
Только трансабдоминальное УЗИ.
Если пациент не переносит трансвагинальное сканирование, необходимо тщательно обследовать наиболее дистальные сегменты OV и IIV и проследить их как можно глубже в таз.
Трансвагинальное УЗИ
TVDUS чрезвычайно полезен для оценки паттернов дистального рефлюкса и коммуникации с нижними конечностями из-за его высокого разрешения (по сравнению с TADUS). Выполните полную оценку дистальных OV и IIV, сообщающихся притоков, конт- и ипси-латерального шунтирования и варикозного расширения вен таза.
Положение пациента
Полулегкое положение, голова наклонена под углом 45 °. Может потребоваться поддерживающая подушка, чтобы можно было полностью манипулировать датчиком, если нет гинекологической кушетки с откидным концом. Колени следует согнуть; ноги широко расставлены [рис. 17] .
Рисунок 17: Положение пациента при трансвагинальном УЗИ. Изголовье кровати опущено на 45 °. Матка с дугообразным расширением вены
Оборудование и настройки
Необходим трансвагинальный датчик (C10-3 v, Philips Healthcare, Ботелл, Вашингтон, США) с системой, оптимизированной для максимально возможного разрешения на глубине органов малого таза. Разрешение следует устанавливать как предпочтение по сравнению с частотой кадров, при этом для преобразователя выбирается самая высокая частота. Цветную PRF следует оптимизировать для низкоскоростного потока (5–8 см / с).
Стандартный протокол
Пациент должен знать характер обследования и полученное согласие. Датчик должен быть покрыт соответствующей крышкой зонда и стерильной смазкой. Желательно пустой мочевой пузырь. По нашему опыту, TVDUS хорошо переносится с минимальным дискомфортом. Используйте очень щадящую технику сканирования, чтобы избежать сжатия или искажения анатомии сосудов.
Обследование всего таза должно производиться как в продольной, так и в коронарной плоскости для оценки анатомической ориентации и патологии органов малого таза. После этого для оценки стволов и их притоков наиболее полезны корональные или корональные / наклонные плоскости. Направьте датчик на правый и левый боковые своды шейки матки для просмотра IIV и OV. Передний и задний своды полезны для визуализации передней и задней стенки влагалища, уретры и анального кольца. Опыт покажет предпочтение последовательности оценки — некоторые сонографисты в нашем учреждении предпочитают начинать с OV, в то время как другие предпочитают IIV из-за их фиксированного местоположения. Физические маневры (как показано ниже) необходимы на всех территориях вены, чтобы вызвать рефлюкс.
Двусторонние яичниковые вены
Начните с яичника в коронарной проекции, под углом вперед, и будет видна вена, ведущая к нижней части изображения [Рисунок 18] a и [Рисунок 18] b. Из-за их переднего положения пациенту может потребоваться наклонить бедра вверх, чтобы полностью повернуть датчик. Более дистальная часть OV обычно лежит меньше впереди между маткой и яичниками, а также немного впереди от IIV [Рисунок 19] . В этой области можно увидеть варикозное расширение вен, которое, вероятно, будет сообщаться с дистальным отделом IIV через маточную вену.
Рисунок 18: Изображение левой яичниковой вены. Принципиальная схема ультразвукового поля зрения (а). Верх изображения — дистальный, нижний — проксимальный. Общий дистальный рефлюкс вены яичника (b), левый яичник (содержит геморрагическую кисту) лежит латеральнее вены.
Рисунок 19: Левая яичниковая вена с варикозным расширением вен, сообщающаяся с левой внутренней подвздошной веной
Двусторонние внутренние подвздошные вены и их притоки
Эти вены лежат на боковой боковой стенке таза [Рисунок 20] a и [Рисунок 20] b и более кзади, чем OV, датчик должен быть расположен под углом к их положению [Рисунок 21] . Может потребоваться немного отвести зонд, чтобы увидеть самые отдаленные притоки.
Рисунок 20: Схематическая диаграмма ультразвукового поля зрения (a), соответствующее изображение в оттенках серого (b)
Рисунок 21: Датчик левой внутренней подвздошной вены под углом к левому боковому своду
Варикозное расширение вен таза
Другие области в пределах таза следует обследовать на предмет варикозного расширения вен и рефлюкса, как показано ниже, с физическими упражнениями и без них. Для оценки используйте корональную ориентацию.
- Дугообразные вены матки [Рисунок 22] . Обратите внимание на поток, так как это обычный путь оттока контралатерального рефлюкса.
- Периматочно-маточное сплетение, видимое при небольшом наклоне датчика влево и вправо от матки.
- Стенка влагалища, видимая при небольшом извлечении датчика наружу и под углом кпереди по отношению к шейке матки.
- Периуретрально [Рисунок 23] . Отведите датчик дальше к входу во влагалище и наклоните дальше кпереди к лобковому симфизу. Варикозное расширение вен в этом месте обычно отвечает за симптомы со стороны мочевого пузыря.
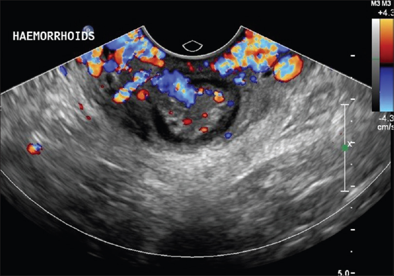
- Перианал. Установите датчик в том же положении, что и выше, под углом кзади к анальному каналу. Варикозное расширение будет видно дистальнее анального кольца, и геморрой, если он присутствует, может распространиться в анальный канал [Рисунок 24] .
Рисунок 22: Дугообразное расширение вены с рефлюксом
Рисунок 23: Варикозное расширение вен периуретрального рефлюкса
Рисунок 24: Анальное кольцо с рефлюксным варикозным расширением вен Вальсальвы
Физические маневры
Все вены, видимые трансвагинально, следует оценивать с применением Вальсальвы и компрессии Кегеля и без них. Транслабиальное
ультразвуковое исследование
Варикозное расширение вен, связанное с тазовым венозным рефлюксом, часто присутствует в вульве, но, вероятно, не будет выступать при клиническом обследовании [как в случае [Рис. 25] . Имеется актуальный анамнез пациента, варикозное расширение вен губ или стенки влагалища, отмеченное во время беременности, или волочение / пульсация / зуд губ могут указывать на их наличие. Ультразвуковое исследование покажет рефлюксные вены малого и большого калибра в пределах половых губ [Рисунок 26] .
Рисунок 25: Выступающие варикозные вены на губах. Нетипичное визуальное представление, часто наблюдаемое только при ультразвуковом исследовании.
Рисунок 26: Вариации большого калибра в губной области
Положение пациента
Полулежа, голова наклонена под углом 45 °. Колени должны быть согнуты, а ступни широко расставлены, как при TVDUS.
Оборудование и настройки
Предпочтительно использовать высокочастотный линейный датчик (мы используем L18-5, Philips Healthcare, Bothell, Вашингтон, США) с системой, оптимизированной для получения поверхностных изображений с высоким разрешением. Разрешение следует устанавливать как предпочтение по сравнению с частотой кадров, при этом для этого преобразователя выбирается самая высокая частота. Цветную PRF следует оптимизировать для низкоскоростного потока (3–5 см / с).
Стандартный протокол
Желательно накрыть датчик крышкой и стерильной смазкой. Оцените как поверхностную, так и глубокую вульву [Рисунок 25].. Проследите за варикозным расширением вен верхней части бедра или паха, чтобы увидеть связь с венозным узором нижней конечности. Следует оценить другие точки выхода, такие как промежностная, паховая, клиторальная, запирательная и верхняя / нижняя ягодичные точки. [7]
Физические маневры
Следующие ниже маневры могут быть использованы для вызова рефлюкса:
- Вальсальва
- Сжатие Кегеля
- Кашель (обычно наиболее эффективный способ вызвать рефлюкс в области вульвы).
| Ультразвуковое исследование тазового рефлюкса у мужчин |
УЗИ мужских тазовых органов обычно проводится по тому же протоколу, что и выше, но без TVDUS. Важно сделать трансабдоминальное изображение как можно дистальнее, оценивая связь с ногами. Для визуализации дистальных отделов может потребоваться значительное давление, и важна подготовка пациента.
Оцените двустороннее яичко и придаток яичка на предмет патологии и симметричного объема. Одностороннее уменьшение объема яичек наблюдается при значительном и хроническом варикоцеле. Обследуйте варикоцеле, которое обычно располагается латеральнее яичка, но варикозное расширение вен можно увидеть кзади или кпереди в пределах мошонки и может распространяться на паховый канал, верхнюю часть бедра или паховую область.
Видно, что яичковая вена (TV) выходит из яичек, проходит через паховый канал [Рисунок 28] и дренирует вверх в LRV. Обычно он залегает довольно неглубоко, на глубине 1-2 см. Если он расширен, его, скорее всего, можно будет увидеть целиком. Оценивайте продольно и используйте CFD, как и в случае с OV. Маневры Вальсальвы или Кегеля могут быть полезны при визуализации IIV, телевизоров и любых видимых варикозных узлов. Оцените область верхней части бедра, промежности, надлобка и паха на предмет сообщения с ногами. По нашему опыту, связь TV / IIV у мужчин встречается реже, чем у женщин (OV / IIV), но часто существует сложная варикозная связь между дистальными TV в паховом канале и ипсилатеральной EIV или IIV.
Рисунок 27: Схематическая диаграмма пре- и пост-тазовой эмболизации вен, показывающая разрешение «псевдо-щелкунчика». Предоставлено: Барри Прайс, Клиника Уайтли.
Рисунок 28: Рефлюкс пахового канала левой яичковой вены (изображение справа), варикоцеле правой мошонки (изображение слева)
| Постэмболизационное УЗИ |
Повторите описанную ранее технику, чтобы оценить успешность эмболизации, и при этом должна быть под рукой информация о венах, обработанных во время ЭПЭ. Трансабдоминально спирали можно увидеть от проксимального до дистального OV [Рисунок 29] . Если «псевдо-щелкунчик» был замечен до PVE, это следует решить [Рисунок 27] . Для постоянных соотношений ≥5: 1 оцените вариантную анатомию LRV и LOV (например, путь MA-LRV плюс RA-LRV или реканализация или коллатерализация LOV). Тщательно оцените миграцию катушки, особенно в EIV, а также при вставках ROV в IVC, LOV в LRV и на окончаниях RIIV / LIIV. Трансвагинально можно увидеть дистальные спирали [Рисунок 30].. Оцените все визуализированные области катушек с помощью CFD и описанных маневров. Любой новый рефлюкс или безуспешное лечение следует отмечать, и, если он значительный, может потребоваться дальнейшее лечение.
Рисунок 29: Спирали видны в проксимальной части правой яичниковой вены (желтый кружок), но не доходят до нижней полой вены.
Рисунок 30: Спиральная дистальная левая яичниковая вена, без остаточного рефлюкса (правое изображение), спирали в левой яичниковой вене и левой внутренней подвздошной вене (левое изображение)
| Дуплексное УЗИ вен нижних конечностей: когда подозревать рефлюкс в тазовую вену |
При выполнении дуплекса ног для оценки венозного рефлюкса важно оценить признаки тазового рефлюкса у каждого пациента, как у мужчин, так и у женщин. Некоторые ключевые показания для тазового рефлюкса с сообщением с ногами:
- Наличие варикозного расширения вен в верхнем проксимальном отделе бедер, которое может быть обнаружено или не обнаружено при клиническом обследовании.
- Атипичные паттерны варикозного расширения вен, не связанные с рефлюксом туловища
- Рецидивирующее варикозное расширение вен.
Просканируйте проксимальную внутреннюю поверхность бедра вверх по направлению к паху, заднюю часть бедра к ягодичной складке и анальной области и боковую часть бедра к бедру. Пациенту может быть полезно поставить ногу «на цыпочки» для адекватной визуализации. Следите за любым варикозным расширением черепа. Обратите внимание, что не все варикозные вены тазового происхождения наблюдаются изолированно, без рефлюкса туловища.
Некоторые типичные проявления варикозного расширения вен тазового происхождения показаны ниже, как в фотографической форме, так и в виде диаграммы рефлюкса. Варикозные узлы верхней части бедра могут различаться по размеру, и даже те, которые не превышают 1 мм, могут иметь клиническое значение. Удлините жилу и используйте CFD. Кашель обычно вызывает рефлюкс, если он тазовый.
Паттерны передне-тазовой коммуникации
Переднемедицинское варикозное расширение вен, лежащих поверхностно по отношению к области сухожилия длинной приводящей мышцы [Рис. 31] , не обязательно будет очевидным при клиническом обследовании. Ключевым признаком их наличия при ультразвуковом исследовании может быть рефлюкс туловища в большой подкожной вене (БПВ) до проксимальной трети бедра, но не до проксимального БПВ или сафено-бедренного соединения (СФС). Варикозное расширение вен проксимального отдела бедра может присоединяться к любому другому стволу или вообще отсутствовать.
Рисунок 31: Переднемедиальное расширение вен нижних конечностей из тазового источника. Презентация пациента и несколько репрезентативных схем тазового рефлюкса
Видно, что переднелатеральный варикоз движется к бедру и может соединяться с AASV и / или его притоками.
Паттерны задней тазовой коммуникации.
Варикозное расширение вен задней части [Рис. 32] часто встречается при рефлюксе тазовых вен. Как правило, наблюдается структура мелких сосудов с варикозным расширением вен диаметром ≤2 мм и обширными резьбовыми венами. Этот тип паттерна может быть одним из самых симптоматических, когда нижняя конечность болит и пульсирует. Варикозное расширение вен также может привести к образованию складок на ягодицах, дистальной или проксимальной части ягодиц или боковой области бедра.
Рисунок 32: Варикозное расширение вен задней части голени из тазового источника с типичным мелкомасштабным варикозным расширением задних вен. Демонстрируются несколько представлений паттернов рефлюкса.
Варикозное расширение вен может сообщаться непосредственно с веной Джакомини в задней части бедра, и варикозное расширение вен, возникающее из перфораторных вен Джакомини, может присутствовать. Могут сообщаться о боли и ноющих ощущениях в этой области, особенно когда вы находитесь в вытянутом сидячем положении.
Рецидивирующее варикозное расширение вен
нижних конечностей Рефлюкс тазовых вен является частой находкой при рецидивирующем варикозном расширении вен, и его паттерны могут быть простыми или сложными. Простые паттерны могут появиться после успешного лигирования SFJ, иногда с удалением проксимальной трети GSV, но без значительного образования неоваскулярной ткани. Остаточный БПВ в средней части бедра виден рефлюксом с сообщающимся варикозным расширением вен на медиальной стороне бедра до таза [Рис. 33]. Пациенты с более сложными паттернами могут иметь неоваскулярный рецидив в области SFJ и в пределах полосы GSV в дополнение к сообщению варикозно расширенных вен с тазом. Варикозное расширение может быть незаметно для глаза.
Рисунок 33: Рецидивирующее варикозное расширение вен на ногах после слияния высокой подкожной вены между областью вульвы и местом разреза. Типичные диаграммы рефлюкса
| Заключение |
Благодаря опыту и качественной визуализации, УЗИ является полезным инструментом для оценки тазового венозного рефлюкса. Это динамический тест, дающий истинную картину патофизиологии и гемодинамики кровотока, а не полагающийся только на анатомию и диаметр вены. Это дешевле и менее инвазивно, чем другие методы радиологии, такие как КТ, МРТ или венография. Положение пациента можно изменить в соответствии с показаниями и целью исследования. Ограничения включают зависимость от оператора, плохую подготовку пациента и некачественное оборудование для визуализации. Последние технологические достижения, включая динамическую CFD 3D / 4D [Рис. 34], должны повысить надежность диагностики, сделав визуализацию TVDUS более доступной для менее опытного оператора.
Рисунок 34: Четырехмерный цветной доплеровский ротационный ультразвук. Правая внутренняя подвздошная вена с наложением запирательной части и варикозного расширения половых органов, вращение на 90 ° показывает разделение
Заявление о согласии пациента
Авторы удостоверяют, что они получили все соответствующие формы согласия пациента. В той форме, в которой пациент (-и) дал / дал (-а) свое согласие на публикацию его / ее / их изображений и другой клинической информации в журнале. Пациенты понимают, что их имена и инициалы не будут опубликованы, и будут предприняты соответствующие усилия, чтобы скрыть их личность, но анонимность не может быть гарантирована.
Финансовая поддержка и спонсорство
Нет.
Конфликт интересов. Конфликтов интересов
нет.
| Рекомендации |
| 1. | Уайтли MS, Сантос SJ, Харрисон CC, Холдсток JM, Лопес AJ. Трансвагинальное дуплексное ультразвуковое исследование, по-видимому, является золотым стандартом исследования гемодинамики при тазовом венозном рефлюксе в яичниках и внутренних подвздошных венах у женщин. Флебология 2015; 30: 706-13. |
| 2. | Лабропулос Н., Ясинский П. Т., Адрахтас Д., Гаспарис А. П., Мейснер М. Х. Стандартизированный ультразвуковой подход к синдрому заложенности таза. Флебология 2017; 32: 608-19. |
| 2. | Лабропулос Н., Ясинский П. Т., Адрахтас Д., Гаспарис А. П., Мейснер М. Х. Стандартизированный ультразвуковой подход к синдрому заложенности таза. Флебология 2017; 32: 608-19. |
| 3. | Дос Сантос SJ, Холдсток JM, Харрисон CC, Лопес AJ, Уайтли MS. Диаметр яичниковой вены нельзя использовать как индикатор венозного рефлюкса яичников. Eur J Vasc Endovasc Surg 2015; 49: 90-4. |
| 4. | Фитоз С., Эким М., Озчакар З. Б., Эльхан А. Х., Ялцинкая Ф. Синдром Щелкунчика у детей: роль осмотра в вертикальном положении и измерения угла верхней брыжеечной артерии в диагностике. J Ultrasound Med 2007; 26: 573-80. |
| 4. | Фитоз С., Эким М., Озчакар З. Б., Эльхан А. Х., Ялцинкая Ф. Синдром Щелкунчика у детей: роль осмотра в вертикальном положении и измерения угла верхней брыжеечной артерии в диагностике. J Ultrasound Med 2007; 26: 573-80. |
| 5. | Курклинский А.К., Рук Т.В. Феномен щелкунчика и синдром щелкунчика. Mayo Clin Proc 2010; 85: 552-9. |
| 6. | Холдсток Дж. М., Уайт А. М., Беккет Д., Фернандес-Харт Т. Дж., Ашпитель Х., Немчанд Дж. Л. и др . Феномен щелкунчика можно переоценить с помощью дуплексного ультразвукового исследования — рефлюкс вены из левого яичника может быть причиной сужения почечной вены, а не эффектом обструктивного кровотока. 31- я ежегодная конференция Американского колледжа флебологии. Первая премия — лучший исследовательский доклад конференции. Атин, Техас; 2017 г. |
| 6. | Холдсток Дж. М., Уайт А. М., Беккет Д., Фернандес-Харт Т. Дж., Ашпитель Х., Немчанд Дж. Л. и др . Феномен щелкунчика можно переоценить с помощью дуплексного ультразвукового исследования — рефлюкс вены из левого яичника может быть причиной сужения почечной вены, а не эффектом обструктивного кровотока. 31- я ежегодная конференция Американского колледжа флебологии. Первая премия — лучший исследовательский доклад конференции. Атин, Техас; 2017 г. |
| 7. | Франчески С., Капелли М., Эрмини С., Джанезини С., Мендоса Е., Пассариелло Ф. и др. ЧИВА: Гемодинамическая концепция, стратегия и результаты. Инт Ангиол 2016; 35: 8-30. |









