- Допплерография почек и сосудов
- КЛИНИЧЕСКИЕ СООБРАЖЕНИЯ
- ТЕХНИЧЕСКИЕ СООБРАЖЕНИЯ
- Оценка главной почечной артерии
- Оценка сегментарной внутрипочечной артерии
- Анатомия собственных почек
- АРТЕРИАЛЬНАЯ АНАТОМИЯ
- ВЕНОЗНАЯ АНАТОМИЯ
- Почечная недостаточность и обструкция
- Почечная инфекция
- Нефролитиаз
- Опухоли почек
- Почечные сосудистые нарушения
- РАС/ГИПЕРТОНИЯ
- ВНУТРИПОЧЕЧНЫЕ СОСУДИСТЫЕ ЗАБОЛЕВАНИЯ
- ТРОМБОЗ ПОЧЕЧНЫХ АРТЕРИЙ
- АНЕВРИЗМА ПОЧЕЧНЫХ АРТЕРИЙ
- АРТЕРИОВЕНОЗНЫЕ ФИСТУЛЫ И ПОРОКИ (АВФ И АВМ)
- ВЕНОЗНЫЕ ЗАБОЛЕВАНИЯ
- Тромбоз почечных вен
- Синдром Щелкунчика
- Формирование варикоцеле
- Краткое содержание
Тереза М. Вебер, Мишель Л. Роббин и Марк Э. Локхарт
Допплерография почек и сосудов
Ультразвук является методом выбора для оценки состояния почек, особенно у пациентов с пограничной функцией почек, частота возникновения которых растет. По сравнению с другими методами УЗИ имеет явное преимущество, заключающееся в предоставлении клинически диагностической информации без необходимости использования ионизирующего излучения или контрастных веществ. Комбинация спектральной, цветовой и/или энергетической допплерографии чрезвычайно полезна при оценке сосудов почек.
КЛИНИЧЕСКИЕ СООБРАЖЕНИЯ
Общие клинические показания к УЗИ почек включают почечную недостаточность и почечную недостаточность. В частности, лидирует требование исключить почечную обструкцию как этиологию острой почечной недостаточности. Ультразвуковая допплерография обычно не проводится для оценки острой почечной недостаточности, но ее проведение может быть обусловлено определенными клиническими показателями ( Вставка 9-1 ) или данными по шкале серого. Цветную и спектральную допплерографию чаще используют в нативных почках для оценки необъяснимой или неконтролируемой гипертензии, вызванной стенозом почечной артерии (РАС), или для определения проходимости сосудов. Некоторые авторы предполагают, что у пациентов с артериальной гипертензией допплерографию следует использовать только у тех пациентов с сильным клиническим подозрением на САС, которым вмешательство может принести пользу. 1 Как будет показано, существует множество других сосудистых аномалий, которые не могут быть выявлены с помощью допплерографии, и они могут проявляться широким спектром симптомов или признаков.
ВСТАВКА 9-1 КЛИНИЧЕСКИЕ КРИТЕРИИ, ИСПОЛЬЗУЕМЫЕ ДЛЯ ОТБОРА КТО НЕОБХОДИМО ОБСЛЕДОВАТЬ НА СТЕНОЗ ПОЧЕЧНЫХ АРТЕРИЙ (РАС)
• Гипертония с клиническими опасениями по поводу стеноза почечной артерии.
• Гипертония, неконтролируемая медикаментозной терапией.
• Гипертония с внезапным началом
• Гипертония после приема ингибитора АПФ
• Гипертония с разным размером почек на УЗИ в оттенках серого.
• Пациент с почечной недостаточностью с клиническим риском развития РАС.
• Наблюдение за выявленным РАС после сосудистой терапии.
ТЕХНИЧЕСКИЕ СООБРАЖЕНИЯ
Ультразвуковая допплерография почек может быть одним из самых сложных ультразвуковых исследований сосудов. Обширное обучение и опыт проведения и интерпретации исследования сократят время обследования, улучшат качество исследования и оптимизируют точность диагностики. Специальная программа контроля качества является важным механизмом оценки точности и рассмотрения случаев, когда был поставлен неправильный диагноз. Целью этого процесса обзора должно быть улучшение качества будущих исследований.
Одной из распространенных проблем при ультразвуковом исследовании сосудов почек является прямая визуализация проксимальных почечных артерий. Поверхностный газ в кишечнике может полностью скрыть происхождение почечных сосудов и привести к недиагностическому исследованию. Чтобы повысить вероятность диагностического исследования, мы просим пациентов голодать в течение как минимум 6–8 часов, если это возможно, чтобы уменьшить газы в кишечнике. Другим ограничением является глубокое расположение собственных почечных сосудов, особенно у пациентов с ожирением, поэтому может оказаться полезным использование соответствующих сонографических окон. Ступенчатое давление датчика может приблизить датчик к артериям и одновременно вытеснить лежащий над ними газ. Однако почечные артерии иногда не могут быть непосредственно визуализированы, несмотря на оптимальную технику; в некоторых из этих технически сложных случаев идентификация аномалий формы сегментарных артериальных волн все же может позволить успешно диагностировать РАС.
Оценка главной почечной артерии
Допплеровскую оценку почечных артерий не следует проводить без тщательного исследования почек по шкале серого. Визуализация в оттенках серого может предоставить полезную информацию о размере почек и толщине кортикального слоя и должна быть частью начальной серии изображений. Для получения допплеровских изображений выполняется предварительное сканирование брюшной аорты с помощью цветного допплера в поперечной плоскости, начиная с уровня верхней брыжеечной артерии (ВМА), чтобы определить местонахождение главных почечных артерий, которые обычно берут начало в пределах 2 см от СМА ( Рис. 9-1 ). Поперечные изображения можно получить из подхода по средней линии, когда пациент лежит на спине или переворачивается в положение лежа на левом боку. Сканер может локализовать правую почечную артерию, проходящую позади НПВ, а затем повернуть датчик, сохраняя при этом артерию в поле зрения. Кроме того, датчик можно расположить продольно латерально от прямой мышцы, в результате чего будет получено изображение «банановой кожуры» ( рис. 9-2 ), на котором аорта представляет собой банан, а почечная артерия — кожуру банана с каждой стороны, очищенную от кожуры. от банана. Если основные почечные артерии не могут быть визуализированы из срединного доступа, используется правый или левый боковой доступ для исследования каждой артерии в центре от ворот почки. Независимо от метода, используемого для определения происхождения почечной артерии, всю главную почечную артерию следует визуализировать сонографически. Отсутствие видимости даже 10-миллиметрового сегмента главной почечной артерии ограничит чувствительность прямого метода для РАС. Это особенно актуально для молодых пациентов, у которых вызывает беспокойство фибромускулярная дисплазия; стеноз у этих пациентов может располагаться не в районе отхождения почечной артерии (описано ниже). В рамках прямой допплерографии пиковую систолическую скорость с коррекцией угла следует измерять в начале почечной артерии, средней и дистальной артерии, а также в любой области турбулентного неорганизованного потока с наложением цветов в допплеровском режиме.

РИСУНОК 9-1. Нормальные почечные артерии. Поперечное изображение аорты в оттенках серого демонстрирует нормальное начало почечных артерий (стрелки).

РИСУНОК 9-2. Нормальные почечные артерии. Продольная энергетическая допплерография показывает аорту и начало обеих почечных артерий в нормальном расположении (стрелки) с внешним видом, называемым «банановой кожурой».
Добавочные почечные артерии встречаются часто (примерно в 30% почек), но не всегда выявляются сонографически. Фактически, исследования показывают, что только 21–41% добавочных почечных артерий визуализируются с помощью допплерографии.2 , 3 Этот низкий уровень успеха побудил некоторых людей утверждать, что сонографическая оценка РАС недостаточно чувствительна в качестве скринингового исследования. Однако Буде и др. обнаружили, что менее 1% добавочных почечных артерий были единственной стенозированной артерией, 4 что по существу сводит на нет значимость отсутствия визуализации добавочной почечной артерии.
Как упоминалось ранее, глубокое расположение основных почечных артерий часто ограничивает их прямую оценку и определяет выбор датчика. Низкочастотные датчики будут иметь лучшую сонографическую глубину проникновения, но при этом уменьшатся пространственное разрешение. Как правило, предпочтительнее использовать высокочастотный датчик, который позволяет хорошо продемонстрировать артерию и ее форму волны.
Визуализация почечных артерий в оттенках серого должна быть оптимизирована до проведения цветной и спектральной допплерографии. Доплеровское усиление следует отрегулировать для обнаружения потока, увеличив усиление до уровня чуть ниже появления цветных артефактов в соседних структурах. Частота повторения импульсов, или шкала скорости, представляет собой частоту дискретизации, а недостаточная выборка может привести к недооценке пиковых скоростей. В более новых системах встроенное программное обеспечение может автоматически оптимизировать эти параметры, при этом специалисту по УЗИ иногда требуется ручная регулировка. Для спектральной допплерографии допплеровские ворота должны быть установлены так, чтобы охватывать весь просвет артерии, и располагаться под углом к направлению кровотока. Угол облучения следует поддерживать на уровне 60 градусов или меньше. При увеличении угла наклона до 80–90 градусов достоверность измеренной скорости снижается, поскольку косинус угла озвучивания приближается к нулю. Это приводит к большим различиям в измеренной скорости при небольшом изменении относительного угла потока.
Оценка сегментарной внутрипочечной артерии
Когда главная почечная артерия не просматривается полностью, оценка сегментарных внутрипочечных артерий может позволить провести недиагностическое прямое обследование, чтобы поставить диагноз РАС.5 , Мы всегда исследуем сегментарные артерии, даже если основные почечные артерии хорошо видны, поскольку морфология сигналов сегментарных артерий может быть полезна при обнаружении сопутствующего заболевания почечной паренхимы.
Задний фланговый доступ уменьшает расстояние от датчика до сегментарных артерий. Следует отметить, что печень и селезенку не следует использовать в качестве окна для улучшения визуализации почки, поскольку сосуды расположены ближе к углу нулевого градуса, когда датчик расположен с использованием более заднего доступа. Индивидуально изучают верхнюю, межполюсную и нижнеполюсную сегментарные артерии. Обычно применяется методика «пятка-носок», при которой один край датчика наклоняется к коже, чтобы выровнять целевой поток сегментарной артерии как можно ближе к углу зондирования датчика (тета менее 20 градусов), чтобы улучшить качество сигнала. Это может улучшить четкость ранних систолических пиков. Электронное управление лучом также можно использовать для лучшего выравнивания угла наклона резонирующего луча и улучшения морфологии сигнала.
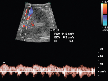
Характеристики спектральной допплерографии в нормальных сегментарных внутрипочечных артериях должны включать быстрый подъем до раннего систолического пика с плавным снижением скорости кровотока во время поздней систолы и диастолы ( рис. 9-3 ). Должен присутствовать постоянный антеградный кровоток на протяжении всего сердечного цикла без возврата к исходному уровню. Индекс сопротивления (RI), рассчитываемый как:

является общим параметром для характеристики артериального кровотока. RI обратно пропорционален относительному объему диастолического потока. Например, конечная диастолическая скорость, составляющая 20% от пикового потока, приведет к RI 0,80. Сообщается, что верхний предел RI у нормальных взрослых составляет менее 0,70, 7 , но опасения по поводу патологии часто не возникают до тех пор, пока RI не достигнет 0,75–0,80 или выше. Кроме того, на RI могут влиять и другие факторы, такие как частота сердечных сокращений, Вальсальва и растяжимость артерий. Фактически, RI более 0,70 часто встречается у пожилых пациентов. 8 Влияние системных сосудистых заболеваний на хроническую почечную дисфункцию является значительным. Недавно было высказано предположение, что измерение RI почек не позволяет отличить местное повреждение сосудов от системного. Новое потенциальное ультразвуковое измерение, разница RI между селезенкой и почкой, может позволить более специфично оценить повреждение почечной паренхимы. 9 Однако это исследование еще не получило дальнейшего подтверждения или широкого применения на практике.

РИСУНОК 9-3. Кривая нормальной сегментарной артерии. Цветной допплер показывает нормальный цветовой поток без наложения спектров. Спектральная допплерография показывает быстрый подъем и плавное снижение скорости с постоянным потоком на протяжении всего сердечного цикла.
Анатомия собственных почек
АРТЕРИАЛЬНАЯ АНАТОМИЯ
Почечные артерии обычно отходят от брюшной аорты каудальнее уровня СМА. Правая почечная артерия обычно берет начало от переднелатеральной части аорты, тогда как левая почечная артерия обычно берет начало от заднелатеральной части аорты. Как отмечалось ранее, примерно у 30% пациентов имеется более одной почечной артерии. 10 Добавочные почечные артерии обычно отходят от аорты каудальнее главной почечной артерии и кровоснабжают нижний полюс почки, но иногда идут краниально, питая верхний полюс. Редко добавочные артерии могут отходить от подвздошной артерии или даже от СМА. Почечные аномалии, такие как подковообразная или тазовая почка, почти всегда имеют множественные почечные артерии, которые могут исходить из аорты или подвздошных артерий.
Главная почечная артерия делится на дорсальную и вентральную ветви, идущие кзади и кпереди от почечной лоханки. Передняя и верхняя части почки обычно снабжаются более крупным вентральным отделом. Задняя и нижняя части почки кровоснабжаются меньшим дорсальным отделом. Соединение этих вентральных и дорсальных отделов создает относительно бессосудистую плоскость (линия Броделя), которая является предпочтительным путем чрескожной установки нефростомы и должна учитываться при выполнении биопсии почки.
Ветвление почечных артерий распространяется симметрично корковому веществу почки ( рис. 9-4 ). Сегментарные ветви отходят от дорсальной и вентральной ветвей и проходят вдоль воронок, а затем делятся на междолевые артерии. Эти междолевые артерии проходят между пирамидами, а затем разветвляются в дугообразные артерии, идущие вдоль оснований мозговых пирамид. Внутри коры мелкие междольковые артерии отходят наружу к поверхности почки.

РИСУНОК 9-4. Разветвление почечной артерии. Линейный рисунок демонстрирует нормальное артериальное разветвление от главной артерии (М) к сегментарным (S), междолевым (IN), дугообразным (А) и междольковым (IL) артериям.
ВЕНОЗНАЯ АНАТОМИЯ
Анатомия почечных вен параллельна анатомии артерий. Нормальный венозный поток по спектральной допплерографии имеет относительно низкую скорость. Его форма сигнала определяется активностью правого предсердия. Добавочные левые почечные вены встречаются реже, чем добавочные почечные артерии; однако добавочные правые почечные вены встречаются довольно часто. Аномалии левых вен могут наблюдаться примерно у 11% пациентов. 11 Варианты чаще всего включают ретроаортальные и околоаортальные почечные вены ( рис. 9-5 ), и они могут быть клинически значимыми даже после установки фильтра. В недавнем исследовании Karazincir et al. было обнаружено, что частота поражения ретроаортальной левой почечной вены значительно выше у пациентов с варикоцеле по сравнению с контрольной группой (см . рис. 9-24 в разделе варикоцеле).


РИСУНОК 9-5 Варианты почечных вен. Штриховые рисунки демонстрируют анатомический вид ретроаортальной (А) и околоаортальной (В) левой почечной вены.
Левая почечная вена получает дренаж из нижней диафрагмальной, капсульной, мочеточниковой, надпочечниковой и гонадной вен и впадает через среднюю линию в нормальную НПВ. У пациентов с левосторонней НПВ левая общая подвздошная вена продолжается краниально как левая НПВ и впадает в нижнюю часть левой почечной вены. Правая почечная вена короче левой и впадает в НПВ косо. В правую почечную вену впадают капсулярная и мочеточниковая вены; однако правые нижняя диафрагмальная и гонадная вены входят непосредственно в НПВ. Клапаны могут присутствовать в почечных венах, но частота их возникновения сильно различается. Варикозное расширение вен почечных вен может быть вторичным по отношению к тромбозу почечных вен или портальной гипертензии или быть идиопатическим. Как и варикоцеле, варикозное расширение вен почек чаще встречается слева, чем справа. В случае тромбоза левой почечной вены варикозное расширение вен может распространяться через нижние диафрагмальные, надпочечниковые, гонадные и мочеточниковые вены. Справа единственная общая ветвь — мочеточниковая вена.
Почечная недостаточность и обструкция
Допплерография может играть вспомогательную роль в диагностике или исключении почечной обструкции у пациентов с острой почечной недостаточностью. Выявить расширенную собирательную систему почки довольно легко с помощью УЗИ. Однако трудность (при отсутствии предварительного обследования) заключается в дифференциации системы высокого давления с острой обструкцией и системы низкого давления с хронической дилатацией. Было высказано предположение, что повышенный индекс резистентности может помочь дифференцировать тяжелую острую обструкцию мочевыводящих путей и хроническую дилатацию мочевыводящих путей.13–15 RI почки с обструкцией может быть повышен по сравнению с нормальной контралатеральной почкой . Разница RI более 0,10 между необструкционной и необструкционной почкой является предполагаемым порогом для диагностики острой обструкционной уропатии. Однако внутрипочечные ауторегуляторные гормональные системы противодействуют механическому воздействию собирающей системы высокого давления, оказывающей давление на паренхиму. Это быстро изменяет сопротивление потоку, снижая чувствительность теста. В условиях частичной или менее тяжелой обструкции этот результат также нечувствителен. Кроме того, в случаях хронической болезни почек без обструкции было показано, что повышенный RI > 0,80 связан с ухудшением функции почек и смертностью.
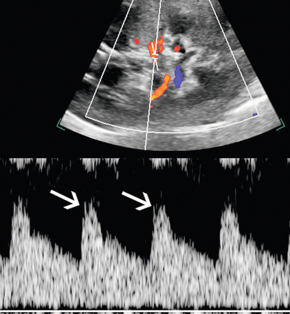
Другой метод допплерографии, помогающий оценить обструкцию мочевыводящих путей, можно провести внутри мочевого пузыря. В случаях с подозрением на почечную обструкцию ультразвуковая оценка струи мочеточника должна быть компонентом ультразвукового исследования почек ( рис. 9-6 ). Хотя поступление мочи в мочевой пузырь не синхронно, обнаружение трех и более струй мочеточника при допплерографии с одной стороны без единого импульса потока с контралатеральной стороны предполагает обструкцию непульсирующего мочеточника.

РИСУНОК 9-6. Нормальная струя мочеточника. Поперечное цветное допплеровское изображение показывает линейную «струю» цвета, выступающую в просвет мочевого пузыря. Это представляет собой быстрый поток мочи в мочевой пузырь вследствие перистальтики мочеточника.
Почечная инфекция
Ультразвуковое исследование почек обычно не требуется в случаях почечной инфекции, и результаты УЗИ в этих случаях весьма вариабельны. Инфекция почечной паренхимы может быть глобальной или очаговой, а путь распространения — восходящим или гематологическим. Более распространенными результатами УЗИ, которые не всегда наблюдаются, являются увеличение или изменение эхогенности пораженной почки. Наличие околопочечной жидкости добавит уверенности. Демонстрация измененного кровотока со снижением показателей допплера и перфузии в пораженном сегменте почки добавляет уверенности в диагнозе очагового пиелонефрита.
Нефролитиаз
Цветная допплерография должна быть рутинным компонентом ультразвукового исследования почек при подозрении на нефролитиаз. Сама по себе шкала серого имеет низкую чувствительность к небольшим камням в почках. Использование цветного допплера для определения мерцающего артефакта 19 может повысить уверенность в наличии камней в почках, мочеточниках или мочевом пузыре ( рис. 9-7 ). Неровная поверхность камня вызывает доплеровский сдвиг, который проявляется в виде шумного цветового и спектрального сигнала. Это помогает подтвердить, что яркий эхогенный фокус в воротах почки действительно является конкрементом, а не яркой эхогенной жировой тканью ворот почки. Этот метод следует использовать для демонстрации наличия камня, а не для измерения его размера. Это особенно полезное дополнение для оценки дистального камня мочеточника с помощью эндовагинальной техники, когда во время беременности обнаруживается расширенная собирательная система верхней почки ( рис. 9-8 ).




Опухоли почек
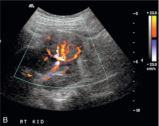
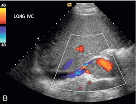
Ультразвуковое исследование в оттенках серого является основным ультразвуковым методом обнаружения опухоли почки, но цветная допплерография может предоставить дополнительную информацию для планирования хирургического вмешательства. Цветная допплерография может быть полезна при интраоперационных ультразвуковых исследованиях при попытке точно определить глубину инвазии опухоли ( рис. 9-9 ). Цветная допплерография также может быть полезна для подтверждения степени инвазии почечноклеточной опухоли в нижнюю полую вену ( рис. 9-10 ). Это может быть полезно для планирования хирургического вмешательства, поскольку четко очерчивает краниальную протяженность опухоли. Цветная допплерография может помочь подтвердить, затрагивает ли опухоль внутрипеченочную часть НПВ, что значительно усложнит хирургическое удаление. Наличие артериального сигнала внутри тромба подтверждает, что это опухолевый тромб (в отличие от мягкого тромба).




РИСУНОК 9-10. Распространение вен опухоли почки в НПВ. (А) На изображении в оттенках серого показано расширение подпеченочной НПВ за счет твердого поражения (калиперы). (B) Добавление цветного допплера помогает определить краниальную протяженность опухолевого тромба.
Почечные сосудистые нарушения
РАС/ГИПЕРТОНИЯ
Заболевания сосудов почек являются редкой причиной гипертонии; однако оно потенциально излечимо, и его чаще всего рассматривают у молодых взрослых пациентов с внезапным началом гипертонии и неконтролируемой или быстро ускоряющейся гипертензией. Стенотическая реноваскулярная болезнь имеет две основные этиологии: атеросклероз и фиброзно-мышечная дисплазия. У пожилых пациентов основной этиологией чаще всего является атеросклеротическое заболевание устьев почек. Второй наиболее распространенной этиологией является фибромускулярная дисплазия, которая представляет собой редкое заболевание, чаще всего наблюдаемое у молодых женщин и, в отличие от атеросклеротических поражений, обычно хорошо поддается ангиопластике. Роль визуализации зависит от потенциальной пользы вмешательства. 1 Хотя стеноз почечной артерии можно выявить с помощью визуализации, недавние исследования показывают, что простое выявление стеноза не оправдывает инвазивное лечение путем стентирования. Два недавних рандомизированных исследования, включая исследование ASTRAL, не показали никакой пользы от реваскуляризации атеросклеротических поражений ни в отношении артериального давления, ни в отношении функции почек. Исследование ASTRAL показало, что в двух рандомизированных когортах пациентов не было существенной разницы между медикаментозным лечением и стентированием для лечения РАС. Длительное ишемическое повреждение почечной паренхимы с сопутствующей эмболизацией кристаллами холестерина вызывает значительные повреждения, которые не улучшаются при восстановлении более нормального кровотока через главную почечную артерию. Оценка почечной перфузии при наличии стеноза может быть более полезной для отбора пациентов, которым будет полезно вмешательство. Некоторые авторы предложили допплеровское измерение резистивного индекса, при этом высокое сопротивление за стенозом указывает на значительное повреждение паренхимы. Однако пациент с формой волны tardus-parvus с низким сопротивлением все же может получить пользу. Последние достижения в технологии МР-перфузии позволяют измерять перфузию/диффузию и оксигенацию тканей, что делает прогноз более точным.
Результаты исследования ASTRAL вызвали много споров в литературе. Недавние обзоры предполагают, что визуализация и стентирование все еще могут иметь значение у пациентов с острой гипертензией или быстро прогрессирующей гипертензией. Это рекомендуется для тех пациентов, у которых паренхиматозное поражение почек еще не достигло стадии необратимой гипертензии.
Хотя КТ и МР-ангиография, вероятно, чаще используются для оценки РАС в большинстве учреждений, ультразвуковое исследование является идеальным первоначальным скрининговым исследованием из-за отсутствия ионизирующего излучения или введения контрастного вещества. Недавние исследования показали, что в программах ультразвукового исследования сосудов почек чувствительность и специфичность допплерографии при РАС составляют до 95% и 90% соответственно. 24
Существует два основных метода сонографического обнаружения РАС: прямая демонстрация РАС и косвенная оценка влияния стеноза на сегментарные почечные артерии ( вставка 9-2 ). Сначала учитываются данные шкалы серого, и разница в длине почек более 2 см с истончением кортикального слоя должна вызывать беспокойство при постановке диагноза. Визуализация турбулентного потока в почечной артерии при цветном допплеровском картировании позволяет предположить наличие области стеноза. Повышенные скорости в очаге стеноза могут проявляться как искажение цвета, если скорость выходит за пределы шкалы и переходит на другой конец цветовой шкалы ( рис. 9-11 ), и это должно привести к тщательной оценке с помощью спектральной допплерографии. эта зона. Спектральное допплеровское подтверждение РАС основано, прежде всего, на выявлении повышенного PSV и нарушении кровотока дистальнее очага поражения.
ВСТАВКА 9-2 СВОДКА ДОППЛЕРОВСКИХ ПАРАМЕТРОВ ДЛЯ ДИАГНОСТИКИ РАС
• Повышенная пиковая систолическая скорость (ПСВ)
• Повышенное соотношение PSV почечной артерии по отношению к аорте.
• Фокальное совмещение почечной артерии при цветном допплеровском картировании из-за турбулентного потока.
• Асимметрия резистивных показателей сегментарных артерий относительно контралатеральной почки.
• Сегментарная потеря ранних систолических пиков в артериях
• Задержка систолического ускорения сегментарной артерии (тардус)
• Низкая пиковая скорость сегментарной артерии (парвус)

РИСУНОК 9-11. Стеноз почечной артерии. Турбулентный поток может выглядеть как «сглаживание» на цветном допплеровском изображении (стрелка), поскольку повышенные скорости переходят в нижнюю цветовую шкалу.
Для прямой спектральной допплеровской диагностики РАС были предложены различные критерии, что вызвало разногласия. PSV более 200 см/с ( рис. 9-12 ) был предложен для допплеровской диагностики уменьшения диаметра почечной артерии на 60%. В недавнем метаанализе PSV был лучшим критическим фактором в диагностике РАС с чувствительностью и специфичностью 85% и 92% соответственно. 29 Соотношение PSV почечной артерии и PSV аорты (RA/Ao) является еще одним критерием, предлагаемым для диагностики РАС. Соотношение RA/Ao PSV более 3,5:1 ( рис. 9-13 ) предполагает значительный уровень РАС, обеспечивая чувствительность 91% и специфичность 91%. Повышенное соотношение пиковой систолической скорости почечной артерии к систолической скорости дистальных почечных артерий также было предложено в качестве критерия диагностики РАС. Одно исследование 187 почечных артерий с ангиографической корреляцией также показало, что абсолютная почечная междолевая скорость PSV менее 15 см/с приводила к чувствительности и специфичности 87% и 91% соответственно для допплеровской диагностики 50% стеноза.Цзянь-Чу и др. недавно изучили влияние атеросклероза и возраста на параметры допплерографии для диагностики РАС и предполагают, что использование диагностических порогов почечно-аортального соотношения и почечно-междолевого соотношения различается у пациентов старше и моложе 46 лет. На другие сонографические критерии в их исследовании возраст пациентов существенно не влиял.



РИСУНОК 9-13. Стеноз почечной артерии. (А) Дуплексная допплерография почечной артерии демонстрирует пограничную пиковую систолическую скорость, 199 см/с. (B) Спектральная допплеровская волна аорты показывает, что максимальная скорость составляет 59 см/с. Рассчитанное отношение пиковой систолической скорости почечной артерии к аорте, равное 3,72, превышает порог 3,5, что указывает на значительный стеноз.
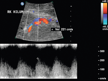
Косвенный метод оценки сигналов сегментарных почечных артерий по РАС становится важным, когда всю длину главной почечной артерии невозможно непосредственно увидеть с помощью ультразвука. Ставрос и др.5 , предположили, что нормальная морфология внутрипочечной волны с ранним систолическим пиком в верхних, межполярных и нижних полюсных сегментарных почечных артериях может использоваться для адекватного исключения значимого РАС. Этот нормальный пик податливости ( рис. 9-14 ) отсутствует при стенозе, ограничивающем поток в проксимальной артерии, хотя другие считают этот признак менее чувствительным.

РИСУНОК 9-14. Пик податливости нормальной сегментарной артерии. Дуплексная допплерография показывает небольшой ранний систолический пик (стрелки) в точке пиковой систолической скорости при отсутствии стеноза в восходящем направлении.
Еще одним критерием РАС является длительное время разгона более 0,07 секунды. Время ускорения – это временной интервал от начала систолы до раннего систолического пика. При притупленных формах сигналов этот ранний пик может отсутствовать, и измерение должно продолжаться от начала систолы до первой точки отклонения. Наличие морфологии волны тардус-парвус помогает в диагностике тяжелой формы РАС; однако его отсутствие не исключает РАС.Спектральная форма волны тардус-парвус определяется медленным подъемом вверх (тардус) и расширением спектра с притуплением систолического пика (парвус) ( рис. 9-15 ). Важно отметить, что у пациентов с атеросклеротическим заболеванием податливость сосудов может быть снижена, что делает морфологию волны тардус-парвус менее очевидной.

РИСУНОК 9-15. Стеноз почечной артерии. При дуплексной допплерографии сегментарной артерии нижнего полюса задержанное систолическое ускорение (тардус) и малая форма волны (парвус) соответствуют стенозу верхнего отдела, и необходима дальнейшая оценка главной почечной артерии, если стеноз еще не был непосредственно визуализирован.
Менее распространенным критерием, предлагаемым для диагностики РАС, является чрезмерная разница RI двух почек (≥ 0,07).5 , При меньших степенях стеноза аномальная почка будет демонстрировать более низкие RI за пределами точки стеноза из-за постстенотической дилатации. Однако, поскольку стеноз становится все более ограничивающим поток, поток может не сохраняться на протяжении всего сердечного цикла, что приводит к высокому RI.
Еще одним потенциальным применением допплера является последующее наблюдение с целью оценки рестеноза у пациентов после установки стента по поводу СРА ( рис. 9-16 ). Это может быть назначено при ухудшении функции почек или даже при отсутствии клинических признаков рестеноза. В исследовании 64 пациентов со стентированием без клинического подозрения на рестеноз у 22 пациентов наблюдался повышенный PSV более 200 см/с и значительно более высокая скорость снижения функции почек, чем у пациентов с PSV менее 200 см/с. У 6 из 11 пациентов с этим критерием, которым была выполнена ангиография, несмотря на отсутствие клинических подозрений, у всех был рестеноз более 70% при ангиографии.


РИСУНОК 9-16. Рестеноз после стентирования. (А) Дуплексная допплерография правой главной почечной артерии у стентированного пациента с рецидивирующей гипертензией показывает повышенный PSV в области цветового наложения. (B) Спектральная допплерография сегментарной почечной артерии демонстрирует форму волны tardus-parvus.
ВНУТРИПОЧЕЧНЫЕ СОСУДИСТЫЕ ЗАБОЛЕВАНИЯ
Заболевания внутрипочечных сосудов, такие как узелковый полиартериит (ПАН), гранулематоз Вегенера и склеродермия, обычно не могут быть диагностированы с помощью реноваскулярной допплерографии. Тромбоз почечной артерии, эмболизация, ишемия и инфаркт должны быть обнаружены с помощью допплерографии. Видимые структурные поражения сосудов почек могут включать аневризму почечной артерии (РАА) или артериовенозную мальформацию.
ТРОМБОЗ ПОЧЕЧНЫХ АРТЕРИЙ
Полный тромбоз нативной почечной артерии встречается редко, за исключением случаев установки стентов или шунтов для восстановления аневризмы брюшной аорты или травмы. При травме может произойти отрыв почечной артерии с экстравазацией или без нее. Травматическое расслоение артерии также может привести к артериальной окклюзии и может иметь такие же результаты допплерографии, как и отрыв почечной артерии. Асимметричное отсутствие кровотока может затрагивать всю почку или ее сегмент, в зависимости от уровня нарушения. Цветная допплерография может выявить дефект перфузии, но энергетическая допплерография часто используется для характеристики любого медленного кровотока в этой области. Если кровоток не выявлен, оптимизацию настроек допплера следует выполнить с использованием контралатеральной почки перед дополнительным облучением пораженной почки.
Региональное отсутствие энергетического допплеровского потока в почечной паренхиме с клиновидной формой предполагает сегментарный инфаркт ( рис. 9-17 ). Необходимо провести поиск других подобных отклонений в контралатеральной почке или других органах, поскольку это может быть связано с выпадением эмболов из отдаленного источника.

РИСУНОК 9-17. Тромбоз почечной артерии. В нижнем полюсе (стрелки) при энергетической допплерографии паренхиматозный кровоток не виден. При отсутствии нормального кровотока при обычном цветном допплерировании следует провести энергетическую допплерографию из-за ее более высокой чувствительности к медленному потоку.
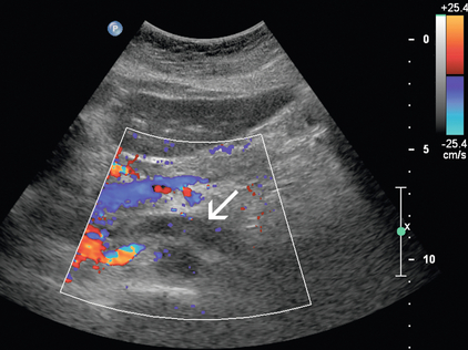
АНЕВРИЗМА ПОЧЕЧНЫХ АРТЕРИЙ
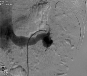
Диагноз аневризмы или псевдоаневризмы почечной артерии чаще всего ставится с помощью КТ или МРТ. Однако есть результаты допплерографии, которые можно увидеть при этой аномалии. Он может выглядеть как сосудистая структура веретенообразной, эксцентрической и мешотчатой формы. РАА обычно возникает из точки ветвления внутри артерии. При цветном допплеровском исследовании могут наблюдаться круговые потоки крови, напоминающие «инь-ян» ( рис. 9-18 ). Часть аневризмы может быть тромбирована. Для RAA характерно наличие периферических кальцификаций, которые могут ограничивать сонографическую оценку центрального кровотока.


РИСУНОК 9-18. Аневризма почечной артерии. (A) На разделенном изображении показана безэховая круглая структура в оттенках серого с потоком в цветном допплеровском режиме. Круговой поток на цветном допплеровском изображении (стрелки), называемый знаком «инь-ян», можно увидеть при аневризме или псевдоаневризме. (Б) При ангиографии подтверждается типичная круглая сосудистая структура аневризмы.
АРТЕРИОВЕНОЗНЫЕ ФИСТУЛЫ И ПОРОКИ (АВФ И АВМ)
Артериовенозная фистула в нативной почке встречается редко, за исключением случаев предшествующей биопсии почки, и ее нельзя заподозрить при сонографии, если не проводится цветная или энергетическая допплерография. Цветной или энергетический допплер обычно показывает большое извилистое скопление сосудов. Спектральные допплеровские сигналы почечных артерий, питающих фистулу, покажут высокую скорость и низкое сопротивление ( рис. 9-19 ). Основная почечная вена может быть расширена, а в венах вблизи фистулы могут обнаруживаться артериализованные волны ( рис. 9-20 ).



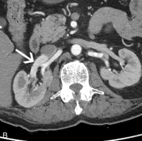
РИСУНОК 9-20. Артериовенозная фистула. (А) Спектральная допплерография демонстрирует артериализованный венозный поток с высокими скоростями и низким сопротивлением. (B) КТ-ангиография показывает раннее усиление правой почечной вены (стрелка) по сравнению с левой почечной веной.
ВЕНОЗНЫЕ ЗАБОЛЕВАНИЯ
Тромбоз почечных вен
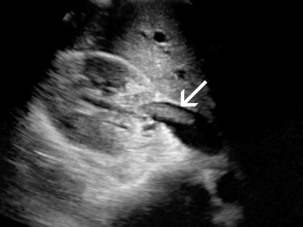
Тромбоз почечных вен (ПВТ) собственных почек чаще наблюдается у детей, чем у взрослых. У взрослых основная этиология может включать обезвоживание и нефротический синдром, состояние гиперкоагуляции или травму почечной вены. Визуализация кровотока в почечных венах с помощью допплерографии имеет решающее значение у пациентов с клиническим подозрением на острый RVT. Прежде чем исключать тромбоз почечной вены, важно продемонстрировать всю почечную вену, поскольку в нативной почке могут быстро образовываться коллатерали.
Диагноз РВТ основывается на обнаружении тромба, заполняющего почечную вену ( рис. 9-21 ), или неокклюзионного тромба, окруженного венозным потоком. В некоторых случаях вена может быть расширена тромбом. Отсутствие кровотока в почечной вене без признаков тромба может указывать на RVT; однако демонстрация низкого уровня цветового сигнала внутри вены при допплерографии не исключает возможности неокклюзионного или окклюзионного тромба почечной вены. Монофазные венозные волны являются аномальными, но не специфичными для RVT. Из-за возможности распространения тромба краниально в пределах НПВ ( рис. 9-22 ) и влияния на клиническое лечение, НПВ следует визуализировать в рамках сонографического исследования при оценке РВТ.

РИСУНОК 9-21. Тромб почечной вены. При цветной допплерографии эхо-сигналы низкого уровня заполняют левую почечную вену при отсутствии полного допплеровского заполнения ее просвета (стрелка).

РИСУНОК 9-22 Тромб почечной вены. На изображении правой почечной вены в оттенках серого виден линейный тромб (стрелка), распространяющийся в НПВ. У этого пациента тромб был подвижным во время сердечной пульсации, что вызывало беспокойство по поводу возможной последующей эмболии.
Тромб почечной вены также может наблюдаться у пациентов с почечно-клеточным раком, если опухоль распространяется на почечную вену. В этих случаях артериальный кровоток можно увидеть внутри тромба при спектральной допплерографии.
Синдром Щелкунчика
Феномен «щелкунчика» возникает в результате сдавления левой почечной вены между верхней брыжеечной артерией и аортой и может привести к гипертензии левой почечной вены, гематурии и образованию варикозно расширенных вен. Важно помнить, что у некоторых здоровых людей при КТ, МРТ или УЗИ можно обнаружить расширенную левую почечную вену. Следовательно, следует применять другие критерии, в том числе высокий коэффициент доплеровской скорости ( рис. 9-23 ) и высокий коэффициент диаметра вен, как описано в недавней литературе. Из-за сложности потенциального хирургического вмешательства может потребоваться измерение градиента давления между НПВ и левой почечной веной в качестве подтверждения до того, как будет диагностирована клинически значимая компрессия почечной вены. Визуализация крови из устья мочеточника при ретроградной уретероскопии также может быть полезной. Цветная допплерография может обеспечить неинвазивное подтверждение компрессии почечных вен с соотношением пиковых скоростей более 5:1, когда обнаружены коллатеральные вены. На КТ может наблюдаться резкое изменение калибра вен, когда вена пересекает СМА, обычно с «клювовидным» видом.


РИСУНОК 9-23 Щелкунчик с почечной веной. У пациента с необъяснимой гематурией спектральная допплерография преаортальной левой почечной вены (А) демонстрирует нормальный низкоскоростной поток, 8 см/с. (B) Когда вена пересекает аорту и SMA (допплеровские ворота), наблюдается видимое сужение с повышенной пиковой систолической скоростью, 103 см/с.
Формирование варикоцеле
Варикоцеле — это расширение гроздьевидного венозного сплетения, наблюдаемое при ультразвуковом исследовании яичек, которое чаще встречается слева из-за анатомических факторов угла вхождения гонадной вены в левую почечную вену и возможности сдавления левой почечной вены СМА. . Первичный тип варикоцеле связан с недостаточностью клапанов, а вторичный тип связан с повышением венозного давления из-за затруднения венозного оттока. Изолированное правостороннее варикоцеле встречается редко и требует дальнейшей оценки правой забрюшинной области и почки для исключения образования в правой почке или аденопатии, сдавливающей венозный отток. Диагноз варикоцеле ставится при ультразвуковом исследовании яичек, когда вены в области семенного канатика расширены до диаметра более 2–3 мм ( рис. 9-24 ). Редко варикозное расширение вен может располагаться интратестикулярно. В некоторых случаях цветная допплерография расширенных вен может выявить внутрипросветный тромб. Реверс венозного кровотока в состоянии покоя с усилением обратного кровотока во время Вальсальвы указывает на диагноз, но у некоторых пациентов может наблюдаться только реверс во время Вальсальвы. Методы, используемые для улучшения выявления варикоцеле, включают вальсальву или положение стоя. Как отмечалось ранее, недавнее исследование Karazincir et al. показали, что частота ретроаортального поражения левой почечной вены была значительно выше у пациентов с варикоцеле по сравнению с контрольной группой.


РИСУНОК 9-24 Варикоцеле. (А) Цветная допплерография показывает расширение и увеличение кровотока в сосудах (стрелки) семенного канатика и мошонки во время Вальсальвы диаметром более 3 мм. При пограничных результатах положение пациента стоя может усилить эти результаты. (B) КТ у того же пациента показывает ретроаортальную левую почечную вену (черная стрелка).
Краткое содержание
Ультразвук играет важную роль в диагностике и лечении заболеваний почек. Ультразвук также играет чрезвычайно важную роль в первоначальной оценке РАС. Качество и точность УЗИ сосудов зависят от количества случаев, а также от навыков и опыта сонографистов и сонологов, интерпретирующих исследование. Высокое внимание к деталям, необходимое при проведении и интерпретации ультразвукового исследования сосудов почек, будет по-прежнему ограничивать его широкое применение по сравнению с исследованиями КТА и МРА. Тем не менее, УЗИ сосудов почек будет по-прежнему иметь большое преимущество, поскольку не требует потенциально нефротоксичного внутривенного контрастирования у пациентов со сниженной функцией почек или острой почечной недостаточностью. Будущие улучшения в ультразвуковых технологиях и более широкое распространение оптимальных методов должны соответствовать прогнозируемому увеличению числа пациентов с почечной недостаточностью.
