Джон С. Пеллерито, доктор медицинских наук, FACR, FSRU, FAIUM
Распознавание нормальной сосудистой анатомии необходимо для любого исследования проблем с сосудами брюшной полости. Допплеровское исследование сосудов брюшной полости требует понимания нормальных и аномальных закономерностей кровотока. Распознавание изменений абдоминального кровотока позволяет точно диагностировать артериальные и венозные нарушения, включая стенозы, окклюзии и тромбозы. В этой главе будут рассмотрены нормальные схемы кровотока в артериях и венах брюшной полости, которые можно обнаружить при наших допплеровских исследованиях.
Брюшная аорта
Важно признать, что все ветви брюшной артерии, выявленные в ходе наших допплеровских исследований, получают кровоснабжение через брюшную аорту. Брюшная аорта оставляет свой сосудистый «отпечаток» на всех своих ветвях. Следовательно, изменения аортального кровотока, связанные со стенозом (высокоскоростной поток) или дилатацией аневризмы (низкоскоростной поток), будут передаваться на ее ветви. Все наши исследования брыжеечных и почечных артерий всегда начинаются с оценки брюшной аорты на наличие бляшек, стеноза, аневризмы, расслоения или окклюзии. Кривые получают из брюшной аорты на уровне интересующего сосуда и сравнивают с сосудом для оценки изменений потока. Хорошей практикой является осмотр аорты при всех исследованиях брюшной полости для выявления аневризмы или значительного атеросклеротического заболевания. Наличие значительных атеросклеротических бляшек в брюшной аорте, безусловно, увеличивает ваши подозрения на заболевание основной ветви, особенно в месте происхождения сосудов.
Допплеровские сигналы, полученные из проксимального отдела брюшной аорты вблизи от начала чревной и почечной артерий, обычно имеют характер потока с низким сопротивлением, что отражает необходимость непрерывного прямого диастолического потока через печень, селезенку и почки. Помните, что, как и мозг, паренхиматозные органы брюшной полости с высоким уровнем метаболизма (печень, селезенка, почки) требуют прямого потока в систолу и диастолу (поток с низким сопротивлением). Артерии, питающие эти органы, генерируют сигналы, похожие на сигналы внутренней сонной артерии.
Кривые, полученные из дистального отдела брюшной аорты вблизи бифуркации подвздошной кости, обычно имеют характер потока с более высоким сопротивлением, что отражает периферическое сопротивление артерий нижних конечностей. Кривые, полученные от периферических артерий, демонстрируют трехфазный характер в состоянии покоя с реверсом кровотока во время диастолы. Это происходит из-за разветвления на более мелкие артерии и капиллярные русла. Средний диапазон скоростей брюшной аорты составляет от 60 до 100 см/сек.
Чревная артерия
Чревная артерия, также называемая чревным стволом или чревной осью, является первой крупной висцеральной ветвью брюшной аорты. Она начинается от передней поверхности аорты, между ножками диафрагмы ( рис. 26-1 ). Затем она раздваивается на расстоянии примерно 1–3 см от места своего происхождения в общую печеночную и селезеночную артерии, которые легко визуализируются с помощью ультразвука. Чревная артерия также дает начало левой желудочной артерии, которая обычно не видна сонографически. Характер ветвления чревной артерии довольно постоянный и встречается примерно у 93% людей. В наиболее частых вариантах одна или несколько чревных ветвей отходят отдельно от аорты или от верхней брыжеечной артерии (ВМА). Менее чем у 1% людей чревная артерия и СМА отходят от аорты как общий ствол. В таких случаях общий ствол разделяется на чревную артерию и СМА в пределах 1–2 см от аорты.

РИСУНОК 26-1. Чревная артерия и ее ветви. а., артерия.
Ультразвуковое исследование чревной артерии обычно начинают с поперечного исследования проксимального отдела брюшной аорты. Поперечный доступ позволяет визуализировать разветвление печеночной и селезеночной ветвей, обычно напоминающее букву Т или «чайку» ( рис. 26-2 , А ). Продольный подход предпочтителен для оценки происхождения чревной артерии. Мы также используем продольный вид для допплеровского исследования чревной артерии. В этой проекции достигается постоянная коррекция угла, превышающая или равная 60 градусам. Этот вид также позволяет оценить СМА, которая находится чуть ниже чревной артерии.

РИСУНОК 26-2. Чревная артерия. А: Поперечная сонограмма чревной оси (С) в месте ее разделения на общую печеночную артерию (ОПА) и селезеночную артерию (СА). Ао, аорта; НПВ, нижняя полая вена; СВ — сегмент селезеночной вены. B — Нормальный допплеровский сигнал с низким сопротивлением в чревной артерии. Пиковая систолическая скорость составляет 113 см/сек, а конечная диастолическая скорость — 30 см/сек.
Характерная форма допплеровского сигнала представляет собой артериальный сигнал с низким сопротивлением ( рис. 26-2 , Б ). Как упоминалось выше, непрерывный прямой поток на протяжении всей диастолы необходим для адекватной перфузии печени и селезенки. Ветви печени и селезенки также будут демонстрировать картину низкого сопротивления.
Брыжеечное кровообращение отличается обширными артериальными анастомозами и богатой коллатеральной сетью. Эта сеть обеспечивает непрерывную циркуляцию крови в висцеральных сосудах в случае стеноза или окклюзии брыжеечных ветвей, избегая значительного ишемического инсульта. При окклюзии чревной артерии происходит коллатерализация через панкреатодуоденальную артериальную аркаду — сеть мелких сосудов, окружающих поджелудочную железу и двенадцатиперстную кишку. Эти сосуды расширяются и впадают в желудочно-двенадцатиперстную артерию. При окклюзии чревного отдела имеется ретроградный кровоток через желудочно-двенадцатиперстную артерию, снабжающий кровью общую печеночную артерию. Таким образом можно сохранить кровоснабжение печени и селезенки.
Селезеночная артерия
Селезеночная артерия (отгиб чревной Т в направлении слева от больного) следует извилистым ходом вдоль задне-верхнего края тела и хвоста поджелудочной железы ( рис. 26-3 , А ) и заканчивается расщеплением на ряд ветвей в воротах селезенки. . По пути селезеночная артерия дает начало нескольким ветвям поджелудочной железы, коротким желудочным ветвям и левой желудочно-сальниковой артерии. Эти сосуды обычно не видны при УЗИ. Поперечное сканирование из срединного доступа обычно выявляет проксимальную часть селезеночной артерии (см. рис. 26-2 , А ). Дистальная часть селезеночной артерии лучше всего видна через ворота селезенки из левого латерального доступа. Из-за извилистого хода селезеночной артерии течение в этом сосуде обычно турбулентное ( рис. 26-3 , Б ).

РИСУНОК 26-3А . Анатомия селезеночной артерии. а., артерия. B — Нормальный допплеровский сигнал с низкой пульсацией от селезеночной артерии. Пиковая систолическая скорость составляет 110 см/сек, а конечная диастолическая скорость — 45 см/сек.
Печеночная артерия
Общая печеночная артерия ( рис. 26-4 ) — это часть чревной Т- образной мышцы , идущая вправо от пациента. Пройдя небольшой путь вдоль верхнего края головки поджелудочной железы, общая печеночная артерия дает начало желудочно-двенадцатиперстной артерии, которую часто можно увидеть при УЗИ на передне-верхнем крае головки поджелудочной железы. За пределами отхождения гастродуоденальной артерии общая печеночная артерия становится собственно печеночной артерией , которая следует за воротной веной к воротам печени. В этом месте она разделяется на левую и правую печеночные артерии, которые проникают в вещество печени. Анатомические взаимоотношения между печеночной артерией, воротной веной и внепеченочными желчными протоками показаны на рис . 26-4 , Б.

РИСУНОК 26-4 А. Печеночная артерия и ее ветви. Б. Анатомические взаимоотношения между печеночной артерией, воротной веной и внепеченочными желчными протоками. а., артерия; НПВ, нижняя полая вена; Лейтенант, слева; Рт., верно; в., вена.
Только что описанная классическая конфигурация печеночной артерии наблюдается у 72% людей. Может возникнуть ряд альтернативных вариантов развития событий, наиболее примечательными из которых являются следующие: (1) общая (4%) или правая (11%) печеночная артерия может отходить от СМА и (2) левая печеночная артерия может возникать из СМА. возникают из общего ствола с левой желудочной артерией (10%).
Печеночные артерии обычно хорошо визуализируются сонографически из переднего брюшного доступа. Общую печеночную артерию легче всего определить в месте ее отхождения от чревной артерии (см. рис. 26-2 , А ). Собственная печеночная артерия видна на ультразвуковых изображениях рядом с воротами печени, кпереди от воротной вены, в проекциях по короткой или длинной оси, как показано на рисунке 26-5 . Правая и левая ветви печеночной артерии могут быть прослежены в вещество печени на различное расстояние от ворот печени. Как отмечалось ранее, печеночная артериальная система имеет характеристики потока с низким сопротивлением и непрерывным прямым потоком на протяжении всей диастолы. Интересно отметить, что кровоток в собственной печеночной артерии и воротной вене является гепатопетальным, обеспечивая приток крови к печени.

РИСУНОК 26-5. Ультразвуковое исследование печеночной артерии. В воротах печени печеночную артерию (НА) можно отличить от желчного протока (BD), поскольку кровоток присутствует в первом, а не во втором. Кровоток также наблюдается в воротной вене (ПВ). ГБ, желчный пузырь.
Верхние и нижние брыжеечные артерии
СМА начинается на передней поверхности аорты, непосредственно дистальнее начала чревной артерии ( рис. 26-6 ). СМА обычно состоит из короткого сегмента, направленного вперед, и гораздо более длинного сегмента, направленного вниз, который заканчивается вблизи илеоцекального клапана. Ветви СМА кровоснабжают тощую, подвздошную, слепую и восходящую ободочную кишку, а также проксимальные две трети поперечной ободочной кишки и части двенадцатиперстной кишки и головки поджелудочной железы. Как отмечалось ранее, СМА может также привести к аберрантному развитию правой печеночной артерии (11%) или общей печеночной артерии (4%). СМА сообщается с чревной артерией через поджелудочно-двенадцатиперстную аркаду.

РИСУНОК 26-6. Анатомия верхней брыжеечной артерии. а., артерия; Лейтенант, слева; Рт., верно.
СМА легко определяется на продольных или поперечных ультразвуковых изображениях ( рис. 26-7 ). СМА служит важным ориентиром для выявления структур верхней части живота, которые хорошо видны на поперечных ультразвуковых изображениях. СМА лежит справа от верхней брыжеечной вены. Поджелудочная железа и селезеночная вена лежат впереди СМА. Напротив, левая почечная вена (обсуждаемая позже) лежит позади СМА (между СМА и аортой). Эти анатомические особенности очень характерны, что делает СМА отличным ориентиром для сканирования брюшной полости.

РИСУНОК 26-7. Ультразвук верхней брыжеечной артерии (ВМА). А. Анатомические взаимоотношения СМА (S). Обратите внимание, что СМА окружена характерным слоем эхогенного жира. Поджелудочная железа (Panc.) расположена кпереди от СМА. Аорта (Ао) находится позади СМА. НПВ, нижняя полая вена; СВ, селезеночная вена. Б. Продольная проекция показывает отхождение чревной артерии и СМА от аорты (Ао). C — Нормальный высокоомный допплеровский сигнал в СМА у голодающего пациента. D. Нормальная форма волны высокого сопротивления натощак в нижней брыжеечной артерии.
Нижняя брыжеечная артерия (НБА) отходит от брюшной аорты ниже почечных артерий, выше бифуркации подвздошной кости. Он начинается в левой переднебоковой части аорты и идет вниз и влево. НМА обеспечивает кровоснабжение дистального отдела толстой кишки и проксимального отдела прямой кишки. Между СМА и НБА имеется несколько коллатеральных контуров, включая дугу Риолана и маргинальную артерию Драммонда.
IMA наблюдается у большинства пациентов, изучавших целостность мезентериальных сосудов. Лучшим доступом является поперечный вид, скользящий вниз по брюшной аорте ниже почечных артерий. Визуализируется НМА, исходящая из переднелатеральной аорты слева.
Кровоток при СМА и НМА лучше всего оценивать с помощью продольных ультразвуковых изображений, поскольку длинный сегмент сосуда визуализируется с одной точки зрения. Допплеровские волны обычно получаются на этом продольном снимке на уровне начала и проксимальных сегментов.
Допплеровские волны SMA и IMA демонстрируют умеренную турбулентность вблизи артериального начала; однако при движении дистально поток становится более равномерным. У голодающего пациента в СМА и НМА наблюдается картина потока с высоким сопротивлением (см. рис. 26-7 , C и D ) с резкими систолическими пиками и небольшим диастолическим потоком. Однако в течение 30–90 минут после еды формы волн SMA и IMA могут принять характер низкого сопротивления, с широкими систолическими пиками и непрерывным диастолическим потоком.
Портальная венозная система
Система воротной вены транспортирует кровь из кишечника и селезенки в печень. Воротная вена ( рис. 26-8 ) берет начало в месте соединения селезеночной и верхней брыжеечной вен, которые сходятся сразу позади шейки поджелудочной железы. Воротная вена идет косо вправо и заканчивается у ворот печени, где разделяется на правую и левую воротные ветви. Каждая ветвь входит в соответствующую долю печени.

РИСУНОК 26-8. Анатомия системы воротной вены. НПВ, нижняя полая вена; Лейтенант, слева; Рт., верно; в, вена.
Селезеночная вена расположена сразу позади поджелудочной железы и идет по прямому пути (в отличие от извитой селезеночной артерии) до ворот селезенки. Тело и хвост поджелудочной железы видны впереди от селезеночной вены; следовательно, поджелудочная железа является хорошим ориентиром для обнаружения селезеночной вены.
Верхняя брыжеечная вена отходит книзу от места соединения воротной вены и параллельна ходу СМА, лежащей левее от нее. Верхняя брыжеечная вена лучше всего видна при ультразвуковом исследовании в продольных проекциях.
Другие притоки системы воротной вены включают коронарную вену и нижнюю брыжеечную вену, которые показаны на рисунке 26-8 . Нижняя брыжеечная вена впадает в селезеночную вену у 38% людей. Альтернативно, он может заканчиваться в месте соединения селезенки и верхней брыжеечной вены (32%) или в самой верхней брыжеечной вене (25%). 2 Коронарная вена проходит вдоль задней поверхности желудка по направлению к желудочно-пищеводному переходу. Эта вена обычно впадает в верхнюю часть воротной вены возле портоселезеночного перехода 2 , где ее можно увидеть при УЗИ. В случаях портальной гипертензии коронарная вена может расширяться и перенаправлять кровь из воротной вены в большой круг кровообращения (см. главу 30 ).
Допплеровская оценка кровотока в воротной вене обычно проводится вдоль длинной оси воротной вены, как показано на рисунке 26-9 . Ток в воротной вене и ее притоках обычно направлен в сторону печени (гепатопетальный). Кривые допплерографии воротной вены демонстрируют тонкие фазовые вариации, вызванные изменениями давления и сократимости сердца, связанными с дыханием. Фазический паттерн генерирует звук «бури» в слышимом допплеровском сигнале, который совершенно отличается от пульсирующего звука печеночной артерии и других артериальных ветвей. Ток однонаправленный в сторону печени и по внешнему виду аналогичен венам нижних конечностей. При правожелудочковой недостаточности и перегрузке жидкостью пульсация правого предсердия может передаваться через печень в воротную вену, которая затем демонстрирует пульсирующие допплеровские сигналы. Эти волны могут быть двунаправленными и выглядеть «артериальными», но они не следуют за систолой сердца.

РИСУНОК 26-9. Ультразвуковое исследование воротной вены и ее притоков. А. Длинноосевой вид воротной вены (PV). НПВ, нижняя полая вена. Б — нормальный фазовый допплеровский спектр воротной вены. Пиковая скорость (Pk Vel) составляет 14 см/сек. C. Селезеночная вена (S) видна в месте ее соединения с воротной веной (PV). Стрелка представляет верхнюю брыжеечную артерию. Ао, аорта; НПВ, нижняя полая вена.
Нормальная воротная вена имеет диаметр до 13 мм при спокойном дыхании у лежачего пациента. Калибр воротной вены и ее притоков обычно существенно увеличивается во время длительного глубокого вдоха. Лучше всего это заметно в селезеночных и верхних брыжеечных венах, диаметр которых обычно увеличивается на 50–100% от спокойного дыхания до глубокого вдоха. При портальной гипертензии воротная вена может расширяться, а дыхательные изменения в воротной и селезеночной/верхней брыжеечной венах могут быть облитерированы.
Печеночные вены
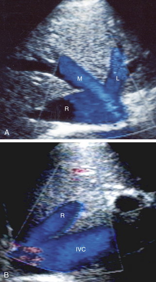
Есть три основные печеночные вены ( рис. 26-10 ), которые сходятся в нижней полой вене (НПВ) на диафрагме. Правая печеночная вена проходит во фронтальной плоскости между передним и задним сегментами правой доли печени. Средняя печеночная вена расположена между правой и левой долями печени и хорошо видна на сагиттальных или парасагиттальных изображениях печени. Левая печеночная вена проходит между медиальным и латеральным сегментами левой доли печени. У 96% больных перед входом в НПВ средняя и левая печеночные вены сливаются в общий ствол. 9 Хвостатая доля имеет собственный венозный отток непосредственно в НПВ. Печеночные вены и другие анатомические структуры являются важными ориентирами, определяющими анатомию долей печени, как указано в Таблице 26-1 и показано на Рисунке 26-11 .

РИСУНОК 26-10. Анатомия печеночной вены. НПВ, нижняя полая вена; в, вена.
ТАБЛИЦА 26-1. Структуры, определяющие анатомию долей печени.
Правая печеночная вена Разделяет передний и задний сегменты правой доли.
Средняя печеночная вена Разделяет правую и левую доли
Ямка желчного пузыря Разделяет правую и левую доли
Восходящая ветвь левой воротной вены
Разделяет латеральный и медиальный сегменты левой доли.
Серповидная связка Разделяет латеральный и медиальный сегменты левой доли.

РИСУНОК 26-11. Анатомические ориентиры, определяющие основные доли и сегменты печени (сегмент). lig., связка; в., вена.
Левая печеночная вена часто дублируется, и может возникнуть ряд других вариантов анатомии печеночной вены. Добавочные печеночные вены, входящие в НПВ в других местах, кроме диафрагмы (см. рис. 26-10 ), встречаются часто, хотя их редко выявляют сонографически. Иногда отсутствует одна из трех главных печеночных вен, обычно правая печеночная вена (6%) или, реже, средняя или левая печеночные вены.
Печеночные вены лучше всего визуализируются с помощью ультразвука с использованием поперечного подмечевидного доступа, который дает изображение трех основных печеночных стволов, сходящихся на НПВ, как это видно на рис. 26-12 , А. Однако с этой точки зрения кровоток часто Правую печеночную вену при цветном допплеровском исследовании невозможно визуализировать, поскольку ось этой вены перпендикулярна лучу ультразвука. Правая печеночная вена лучше просматривается при продольном сканировании и межреберном положении датчика ( рис. 26-12 , Б ).

РИСУНОК 26-12. УЗИ печеночных вен. А. Поперечный вид трех основных стволов печеночных вен в момент их входа в нижнюю полую вену. L, левая печеночная вена; М, средняя печеночная вена; R, правая печеночная вена. B: фронтальная проекция: правая печеночная вена (R) в месте ее соединения с нижней полой веной (НПВ).
Импульсные допплеровские сигналы, полученные из печеночных вен, отличаются от сигналов воротной вены. Печеночные вены имеют пульсирующий поток W- образной формы. Эта картина демонстрирует поток крови, который преимущественно направлен от печени к сердцу (гепатофугальный). Пульсация связана с сокращением предсердий и изменением направления тока крови обратно в печень ( рис. 26-13 ).

РИСУНОК 26-13. Нормальные допплеровские сигналы печеночной вены. Обратите внимание, что эти пульсирующие сигналы сильно отличаются от нормальных сигналов доплеровской воротной вены.
Печеночные вены можно отличить от воротных вен по следующим сонографическим признакам:
1. Ход: печеночные вены ориентированы более или менее продольно, тогда как воротные вены проходят в поперечных плоскостях.
2. Конвергенция: печеночные вены сходятся на НПВ у диафрагмы, тогда как воротные вены сходятся на воротах печени.
3. Изменения в размерах. Печеночные вены постепенно увеличиваются по направлению к диафрагме, тогда как воротные вены становятся больше по мере приближения к воротам печени.
4. Края. Печеночные вены имеют «голые» края, тогда как воротные вены окружены толстой оболочкой из эхогенной фиброзной ткани.
5. Характер формы волны: сигналы допплерографии печеночной вены являются пульсирующими и двунаправленными, тогда как формы сигналов воротной вены являются монофазными и однонаправленными.
Нижняя полая вена
В норме НПВ расположена впереди позвоночника и справа от аорты. НПВ начинается в месте соединения общих подвздошных вен и заканчивается в правом предсердии ( рис. 26-14 ). Верхняя брюшная часть НПВ легко визуализируется сонографически используя печень в качестве акустического окна (см. главу 30 ). Нижняя часть НПВ также может быть визуализирована, в зависимости от телосложения пациента и количества вышележащего кишечного газа. Размер НПВ заметно варьирует в зависимости от дыхания и на протяжении сердечного цикла, но НПВ редко превышает 2,5 см в диаметре. Глубокий вдох ограничивает венозный возврат в грудную клетку, заметно расширяя НПВ. Срок годности имеет противоположный эффект. Диаметр НПВ также зависит от размера пациента и давления в правом предсердии. НПВ и печеночные вены увеличиваются при перегрузке жидкостью и сердечной недостаточности.

РИСУНОК 26-14. Нижняя полая вена (НПВ) и ее притоки. Лейтенант, слева; Рт., верно; v, вена; вв., вены.
Доплеровские сигналы потока в НПВ пульсируют вблизи сердца из-за отраженных пульсаций правого предсердия с реверсом потока во время систолы предсердий. Картина аналогична печеночным венам с характерным W- видом (см. описание кровотока в печеночных венах ранее). Картина кровотока становится менее фазовой вблизи бифуркации подвздошной вены и аналогична картине, наблюдаемой в венах конечностей.
Большинство аномалий НПВ возникают на уровне почечных вен и ниже. Из них наиболее распространены дупликация (0,2–3,0%) и транспозиция (0,2–0,5%). При обеих этих аномалиях левосторонняя НПВ обычно соединяется с левой почечной веной и пересекает ее, присоединяясь к нормальной правосторонней НПВ ( рис. 26-15 ). Прерывание НПВ с непарным или полунепарным продолжением (0,6%) происходит в результате неспособности сформироваться внутрипеченочный сегмент НПВ. Поток крови направляется к сердцу через непарные и полунепарные вены, а печеночные вены впадают непосредственно в правое предсердие.

РИСУНОК 26-15. Аномальная левосторонняя нижняя полая вена (НПВ). в., вена.
Почечные артерии
Почечные артерии ( рис. 26-16 ) отходят от аорты немного ниже места начала СМА. Начало правой почечной артерии обычно несколько выше левой, но это соотношение непостоянно. Правая почечная артерия начинается от переднелатеральной части аорты и затем проходит позади НПВ по направлению к воротам правой почки. Левая почечная артерия отходит от латеральной или заднелатеральной части аорты и следует заднелатеральным курсом к воротам левой почки.

РИСУНОК 26-16. Анатомия почечной артерии. а., артерия; Лейтенант, слева; Рт., верно; НПВ, нижняя полая вена.
Почти треть почек кровоснабжается двумя и более артериями, отходящими от аорты. В некоторых случаях главная почечная артерия дублируется. В других случаях мелкие добавочные почечные артерии отходят от аорты выше или ниже главной почечной артерии и могут входить в почки либо в ворота почки, либо в полюса почки. Внехилярные удвоенные или добавочные почечные артерии также могут возникать из ипсилатеральной почечной артерии, ипсилатеральной подвздошной артерии, аорты или, иногда, из других артерий забрюшинного пространства.
Схема ветвления почечных артерий показана на рисунке 26-17 . Почечные артерии обычно делятся на переднюю и заднюю части, которые лежат соответственно спереди и сзади от почечной лоханки. Передний отдел разветвляется на четыре сегментарные артерии, тогда как задний отдел кровоснабжает только один почечный сегмент. Сегментарные артерии разветвляются дальше в почечном синусе, образуя междолевые артерии, проникающие в почечную паренхиму. Они заканчиваются дугообразными артериями, которые огибают кортикомедуллярный переход, давая начало корковым или междольковым ветвям.

РИСУНОК 26-17. Дистальное разветвление почечных артерий.
Во время допплерографического исследования отхождения почечных артерий ( рис. 26-18 , от А до С ) обычно визуализируются путем сканирования либо поперечно из переднего доступа по средней линии, либо во фронтальной плоскости в положении лежа, в зависимости от телосложения и степени газообразования в кишечнике. В положении лежа при заднелатеральном доступе датчика почка используется как акустическое окно для визуализации почечной артерии. Мои специалисты по УЗИ предпочитают именно этот подход, поскольку окно доступно почти всегда, и на этом единственном снимке можно увидеть всю почечную артерию, как показано на рис. 26-18 . Во многих случаях сочетание обоих подходов позволяет полностью визуализировать почечные артерии.

РИСУНОК 26-18. Эхографическая картина почечных артерий и вен. А: Поперечное изображение правой почечной артерии (РА) и правой почечной вены (ПВ). Обратите внимание, что артерия лежит позади нижней полой вены (НПВ) и почечной вены. АО, аорта; МАЛЫШ, правая почка. Б. Левая почечная артерия (РА) и левая почечная вена (ПВ) в лежачем венце. АО, аорта, ЛК, левая почка. C: Корональная проекция левой (LRA) и правой (RRA) почечных артерий у недоношенного ребенка (голова налево). D. Импульсная допплерография демонстрирует нормальные формы сигналов почечной артерии с низкой пульсацией выше базовой линии и нормальные фазовые формы волны почечной вены ниже базовой линии.
Допплеровские сигналы почечной артерии имеют характер потока с низким сопротивлением и быстрым систолическим подъемом, как показано на рисунке 26-18 , D. Непрерывный прямой поток присутствует в диастолу из-за низкого сопротивления в сосудистом русле почки. Такая картина кровотока очевидна во всех участках почечных артерий, включая внутрипочечные ветви.
Почечные вены
Каждая почечная вена образуется из притоков, сливающихся в воротах почки. Как показано на рисунке 26-14 , левая почечная вена обычно принимает левую надпочечную (надпочечниковую) вену сверху и левую гонадную (яичниковую или тестикулярную) вену снизу. Затем левая почечная вена проходит спереди от аорты и сзади от SMA, чтобы войти в левую часть НПВ. Правая почечная вена, короче левой почечной вены, впадает непосредственно в НПВ от ворот правой почки и обычно не имеет притоков.
Почечные вены визуализируются с помощью ультразвука (см. рис. 26-18 , А и Б ) на поперечных сканах из переднего доступа и коронально из заднелатерального доступа. Специалисты по сонографии должны помнить, что левая почечная вена пересекает среднюю линию между аортой и СМА. Это дифференцирует левую почечную вену и близлежащую селезеночную вену, которая лежит впереди СМА. Допплеровские сигналы в почечных венах (см. рис. 26-18 , Г ) демонстрируют фазовые изменения кровотока. Передающаяся сердечная пульсация может наблюдаться в почечных венах вблизи НПВ.
